-
By T. P . VIGNESH, MBBS,MS
Aravind eye hospital - Uploaded on May 17, 2024.
- Last modified by Joshua Friedman on May 17, 2024.
- Rating
- Appears in
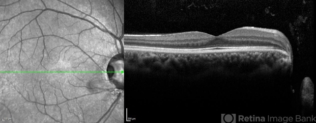
- Optic disc pit
- Condition/keywords
- Optic disc pit
- Photographer
- Sivanath
- Imaging device
-
Optical coherence tomography system
Heidelberg Spectralis - Description
- SD-OCT of the right eye of a 26 year man revealing Optic disc pit .

Initializing download.