-
Optic disc pit
Apr 14 2023 by T. P . VIGNESH, MBBS,MS
Fundus photograph of an 32-year-old woman with optic disc pit and macular RPE atrophy .
Photographer: Bharathi S
Imaging device: ZEISS CLARUS
Condition/keywords: Optic disc pit
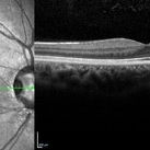
-
Optic Disc Pit
May 17 2024 by T. P . VIGNESH, MBBS,MS
SD-OCT of the right eye of a 26 year man revealing Optic disc pit .
Photographer: Sivanath
Imaging device: Heidelberg Spectralis
Condition/keywords: Optic disc pit
