-
By Akansha Sharma
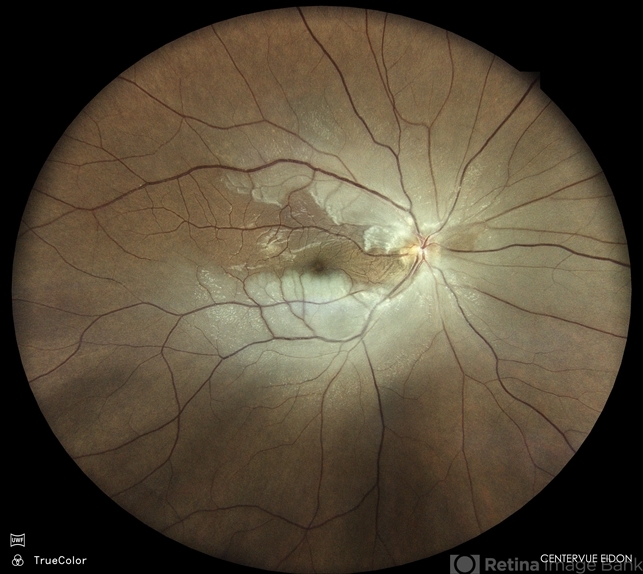
Co-author(s): Dr. Urmil Shah, Bharati Eye Hospital - Uploaded on May 7, 2024.
- Last modified by Joshua Friedman on May 7, 2024.
- Rating
- Appears in
- Miscellaneous
- Condition/keywords
- CRAO, central retinal artery occlusion (CRAO)
- Photographer
- Dr. Akansha Sharma, Bharati Eye Hospital
- Imaging device
- Scanning laser ophthalmoscope
- Description
- Color fundus photograph of a 40 year old female with central retinal artery occlusion.

Initializing download.