-
By Akansha Sharma
Co-author(s): Dr. Urmil Shah, Bharati Eye Hospital - Uploaded on Apr 17, 2024.
- Last modified by Joshua Friedman on Apr 18, 2024.
- Rating
- Appears in
- Miscellaneous
- Condition/keywords
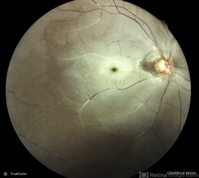
- CRAO, central retinal artery occlusion (CRAO)
- Photographer
- Dr. Akansha Sharma, Bharati Eye Hospital
- Imaging device
- Scanning laser ophthalmoscope
- Description
- Color fundus photograph of a 48 year old male with central retinal artery occlusion.

Initializing download.