-
By Carlos Emiliano Rodriguez Lopez
Instituto de Oftalmologia Conde de Valenciana
Co-author(s): Ledesma Gil Gerardo - Uploaded on Mar 29, 2024.
- Last modified by Carlos Emiliano Rodriguez Lopez on May 30, 2024.
- Rating
- Appears in
- Miscellaneous
- Condition/keywords
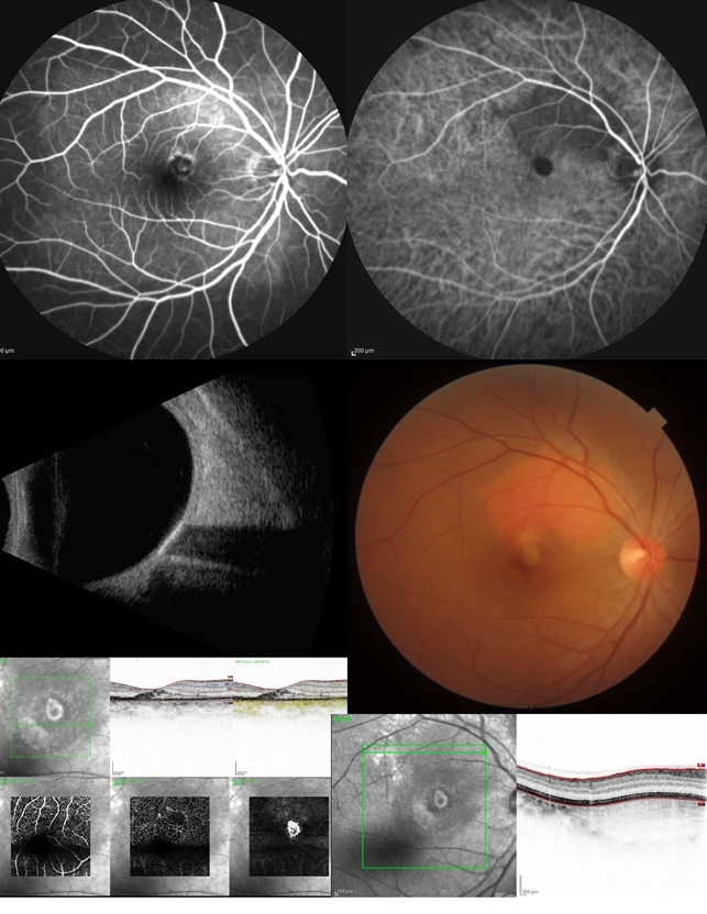
- Choroidal-tuberculoma, Tuberculosis, Choroidal Neovascularization
- Photographer
- Carlos Emiliano Rodríguez López. Instituto de Oftalmología FAP Conde de Valenciana, IAP.
- Imaging device
- Heidelberg Spectralis
- Description
- Multimodal image. 50-year-old female with choroidal neovascularization secondary to choroidal tuberculoma.

Initializing download.