-
Choroidal-Tuberculoma
Mar 29 2024 by Carlos Emiliano Rodriguez Lopez
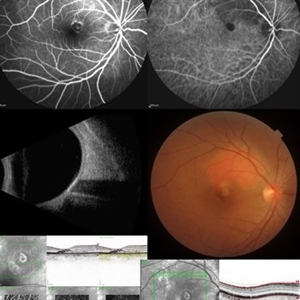
Multimodal image. 50-year-old female with choroidal neovascularization secondary to choroidal tuberculoma.
Photographer: Carlos Emiliano Rodríguez López. Instituto de Oftalmología FAP Conde de Valenciana, IAP.
Imaging device: Heidelberg Spectralis
Condition/keywords: Choroidal Neovascularization, Choroidal-tuberculoma, Tuberculosis
