-
By ANKIT JAIN
Dr Nagpal's Retina Foundation and Eye Hospital
Co-author(s): Dr Manish Nagpal, Dr Nagpal's Retina Foundation, Ahmedabad - Uploaded on Jan 8, 2024.
- Last modified by Joshua Friedman on Jan 8, 2024.
- Rating
- Appears in
- Miscellaneous
- Condition/keywords
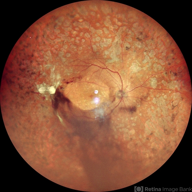
- Diabetes, PRP, pan-retinal photocoagulation (PRP), vitreous hemorrhage
- Photographer
- Dr Ankit Jain
- Imaging device
-
Scanning laser ophthalmoscope
MIRANTE - Description
- RIGHT EYE WIDEFILED FUNDUS PHOTO OF 38 YEARS OLD FEMALE WITH TYPE 1 DIABETES MELLITUS HAVING VITREOUS HEMORRHAGE WITH 360 DEGREE LASER PRP

Initializing download.