-
By David Callanan, MD
Aviceda Therapeutics - Uploaded on Jan 13, 2014.
- Last modified by Caroline Bozell on Jan 6, 2015.
- Rating
- Appears in
- ARMD
- Condition/keywords
- age-related macular degeneration (AMD)
- Description
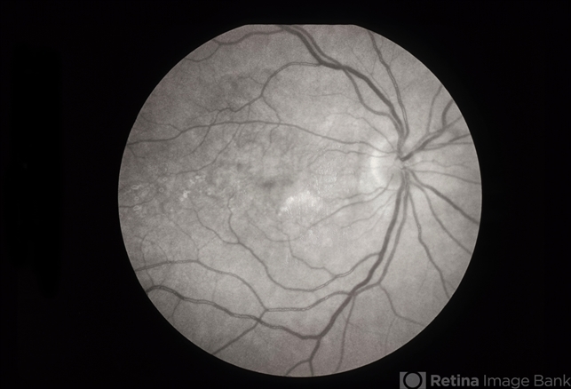
- HM OU marked RPE atrophy, 63-year-old female.

Initializing download.