-
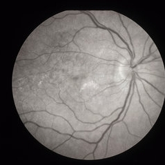
ARMD
Jan 13 2014 by David Callanan, MD
HM OU marked RPE atrophy, 63-year-old female.
Condition/keywords: age-related macular degeneration (AMD)
-
ARMD
Jan 13 2014 by David Callanan, MD
HM OU marked RPE atrophy, 63-year-old female.
Condition/keywords: age-related macular degeneration (AMD)
-
ARMD
Jan 13 2014 by David Callanan, MD
HM OU marked RPE atrophy, 63-year-old female.
Condition/keywords: age-related macular degeneration (AMD)
-
ARMD
Jan 13 2014 by David Callanan, MD
HM OU marked RPE atrophy, 63-year-old female.
Condition/keywords: age-related macular degeneration (AMD)
-
ARMD
Jan 13 2014 by David Callanan, MD
HM OU marked RPE atrophy, 63-year-old female.
Condition/keywords: age-related macular degeneration (AMD)
-
ARMD
Jan 13 2014 by David Callanan, MD
HM OU marked RPE atrophy, 63-year-old female.
Condition/keywords: age-related macular degeneration (AMD)
