-
By Jane-Ming Lin
Ophthalmic Medical Center, China Medical University Hospital - Uploaded on Nov 25, 2023.
- Last modified by Joshua Friedman on Nov 27, 2023.
- Rating
- Appears in
- Miscellaneous
- Condition/keywords
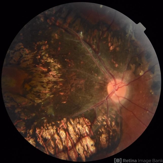
- Pigmented Paravenous Retinochoroidal Atrophy
- Description
- A 27-year-old male patient complained with gradual progressive loss of vision in both eyes for 4 years. He had no family history of inherited ocular diseases and was diagnosed with Pigmented Paravenous Retinochoroidal Atrophy.

Initializing download.