- 
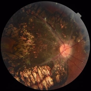
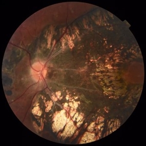
     Pigmented Paravenous Retinochoroidal Atrophy Pigmented Paravenous Retinochoroidal AtrophyNov 25 2023 by Jane-Ming Lin A 27-year-old male patient complained with gradual progressive loss of vision in both eyes for 4 years. He had no family history of inherited ocular diseases and was diagnosed with Pigmented Paravenous Retinochoroidal Atrophy. Condition/keywords: Pigmented Paravenous Retinochoroidal Atrophy 
- 
     Pigmented Paravenous Retinochoroidal Atrophy Pigmented Paravenous Retinochoroidal AtrophyNov 25 2023 by Jane-Ming Lin A 27-year-old male patient complained with gradual progressive loss of vision in both eyes for 4 years. He had no family history of inherited ocular diseases and was diagnosed with Pigmented Paravenous Retinochoroidal Atrophy. Condition/keywords: Pigmented Paravenous Retinochoroidal Atrophy 
- 
     Pigmented Paravenous Retinochoroidal Atrophy Pigmented Paravenous Retinochoroidal AtrophyNov 25 2023 by Jane-Ming Lin A 27-year-old male patient complained with gradual progressive loss of vision in both eyes for 4 years. He had no family history of inherited ocular diseases and was diagnosed with Pigmented Paravenous Retinochoroidal Atrophy. Condition/keywords: Pigmented Paravenous Retinochoroidal Atrophy 
- 
     Pigmented Paravenous Retinochoroidal Atrophy Pigmented Paravenous Retinochoroidal AtrophyNov 25 2023 by Jane-Ming Lin A 27-year-old male patient complained with gradual progressive loss of vision in both eyes for 4 years. He had no family history of inherited ocular diseases and was diagnosed with Pigmented Paravenous Retinochoroidal Atrophy. Condition/keywords: pigmented paravenous chorioretinal atrophy (PPCRA) 
