-
By Virginia Gebhart
Retina Consultants of Carolina - Uploaded on Nov 3, 2023.
- Last modified by Virginia Gebhart on Nov 10, 2023.
- Rating
- Appears in
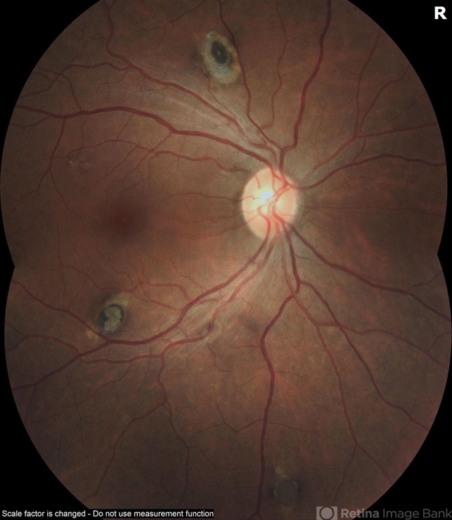
- Gardners Syndrome
- Condition/keywords
- Gardner Syndrome, CHRPE
- Photographer
- Virginia Gebhart
- Imaging device
-
Fundus camera
Topcon - Description
- 43 year-old female with multiple CHRPE lesions consistent with Gardner's Syndrome. Patient had colectomy at age 21. Patient is one of 7 children, 6 had FAP, 3 had colon removal and are alive and well, 3 have passed away from colon cancer. Maternal mother and grandmother also passed away from colon cancer. Patient has 2 children, one son (17) also has Gardner's Syndrome (FAP)

Initializing download.