- 
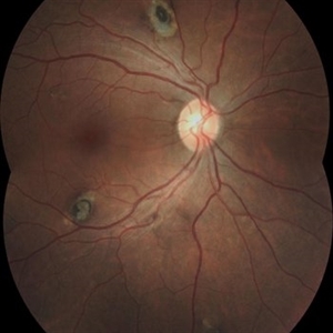
     Gardner's Syndrome (FAP) Gardner's Syndrome (FAP)Nov 3 2023 by Virginia Gebhart 43 year-old female with multiple CHRPE lesions consistent with Gardner's Syndrome. Patient had colectomy at age 21. Patient is one of 7 children, 6 had FAP, 3 had colon removal and are alive and well, 3 have passed away from colon cancer. Maternal mother and grandmother also passed away from colon cancer. Patient has 2 children, one son (17) also has Gardner's Syndrome (FAP) Photographer: Virginia Gebhart Imaging device: Topcon Condition/keywords: CHRPE, Gardner Syndrome 
- 
     Gardner's Syndrome Gardner's SyndromeNov 10 2023 by Virginia Gebhart 17-year-old male with multiple pigmented spots most likely related to Gardner's Syndrome. Pt has not been diagnosed with FAP at this time, however pt receives regular screenings. Extensive maternal family hx of FAP syndrome and colon cancer. Pt's mother has FAP, who had colon resection. Pt's 2 aunts, 1 uncle, grandmother and great grandmother all passed from colon cancer. Pt has multiple maternal cousins diagnosed with FAP Photographer: Virginia Gebhart Imaging device: Topcon Condition/keywords: CHRPE, congenital hypertrophy of the retinal pigment epithelium (CHRPE), familial adenomatous polyposis, Gardner Syndrome 
