-
By Bradley T. Smith, MD, FASRS
The Retina Institute of St. Louis - Uploaded on Oct 28, 2023.
- Last modified by Joshua Friedman on Oct 30, 2023.
- Rating
- Appears in
- Miscellaneous
- Condition/keywords
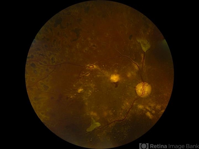
- tractional retinal detachment, proliferative diabetic retinopathy (PDR), vitrectomy, coats-like response
- Description
- Exudate lessened after membrane dissection. Vision improved from counting fingers to 20/200.

Initializing download.