-
By Mallika Goyal, MD
Apollo Health City
Co-author(s): Sridhar A, MD - Uploaded on Dec 13, 2013.
- Last modified by Caroline Bozell on Dec 13, 2013.
- Rating
- Appears in
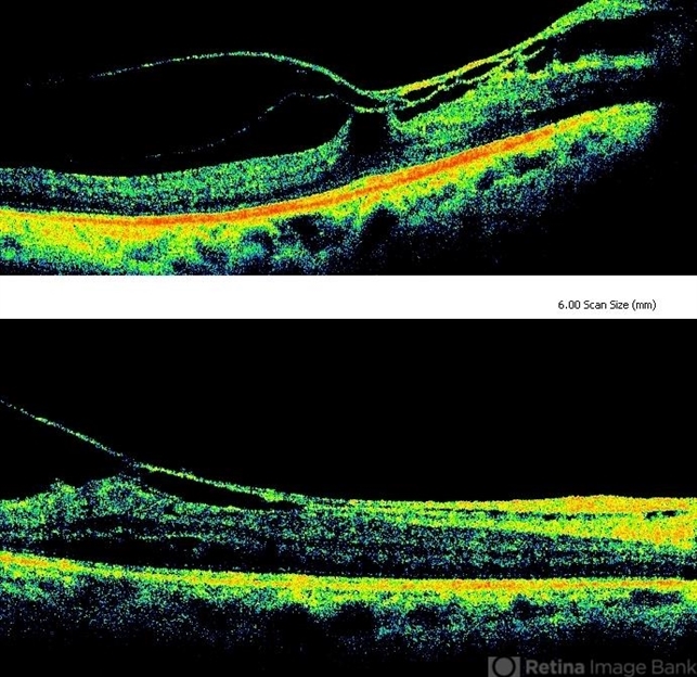
- Macular Traction in PDR
- Condition/keywords
- macular traction
- Photographer
- Mallika Goyal, MD, Apollo Health City, Hyderabad, India
- Imaging device
- Fundus camera
- Description
- Macular traction from thickened posterior hyaloid and epiretinal membrane in a patient with lasered proliferative diabetic retinopathy. The comparison depicts spontaneous release of traction from June 2011 (lower figure) to present status, December 2013 (upper figure).

Initializing download.