-
Macular Traction in PDR
Dec 13 2013 by Mallika Goyal, MD
Fundus photograph of right eye of a 56-year-old diabetic lady shows a sheet of thickened posterior hyaloid and epiretinal membrane with traction on macular center, Visual acuity is 20/25. Other eye has extensive combined traction-rhegmatogenous retinal detachment.
Photographer: Mallika Goyal, MD, Apollo Health City, Hyderabad, India
Condition/keywords: macular traction
-
Macular Traction in PDR
Dec 13 2013 by Mallika Goyal, MD
Fundus photograph of right eye of a 56-year-old diabetic lady shows a sheet of thickened posterior hyaloid and epiretinal membrane with traction on macular center, Visual acuity is 20/25. Other eye has extensive combined traction-rhegmatogenous retinal detachment.
Photographer: Mallika Goyal, MD, Apollo Health City, Hyderabad, India
Condition/keywords: macular traction
-
Macular Traction in PDR
Dec 13 2013 by Mallika Goyal, MD
Macular traction from thickened posterior hyaloid and epiretinal membrane in a patient with lasered proliferative diabetic retinopathy. The comparison depicts spontaneous release of traction from April 2012 (lower figure) to present status, December 2013 (upper figure).
Photographer: Mallika Goyal, MD, Apollo Health City, Hyderabad, India
Condition/keywords: macular traction
-
Compared With June 2011
Dec 13 2013 by Mallika Goyal, MD
Macular traction from thickened posterior hyaloid and epiretinal membrane in a patient with lasered proliferative diabetic retinopathy. The comparison depicts spontaneous release of traction from June 2011 (lower figure) to present status, December 2013 (upper figure).
Photographer: Mallika Goyal, MD, Apollo Health City, Hyderabad, India
Condition/keywords: macular traction
-
Macular Traction in PDR
Dec 13 2013 by Mallika Goyal, MD
Macular traction from thickened posterior hyaloid and epiretinal membrane in a patient with lasered proliferative diabetic retinopathy. The comparison depicts spontaneous release of traction from March 2012 (lower figure) to present status, December 2013 (upper figure).
Photographer: Mallika Goyal, MD, Apollo Health City, Hyderabad, India
Condition/keywords: macular traction
-
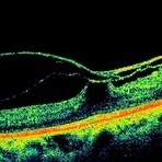
Macular Traction in PDR
Dec 13 2013 by Mallika Goyal, MD
Macular traction from thickened posterior hyaloid and epiretinal membrane in a patient with lasered proliferative diabetic retinopathy. Visual acuity is 20/25. Other eye has extensive combined traction-rhegmatogenous retinal detachment.
Photographer: Mallika Goyal, MD, Apollo Health City, Hyderabad, India
Condition/keywords: macular traction
