-
By Zach Seim
Retina Specialists of Michigan
Co-author(s): Joseph Boss, MD - Uploaded on Sep 14, 2023.
- Last modified by Joshua Friedman on Sep 15, 2023.
- Rating
- Appears in
- Miscellaneous
- Condition/keywords
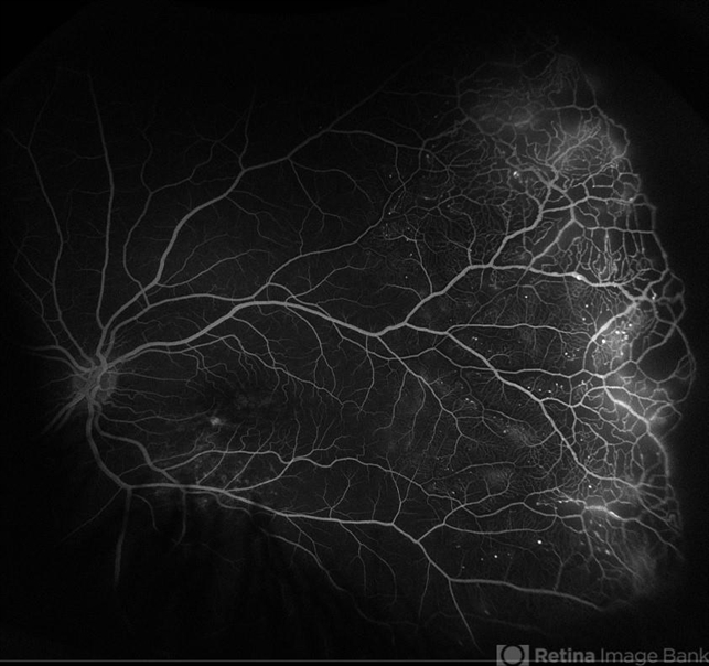
- Coats' disease, Optos, OPTOS CALIFORNIA, fluorescein angiogram (FA), left eye, fluorescein leakage, ultra-wide field imaging
- Photographer
- Zach Seim
- Imaging device
-
Scanning laser ophthalmoscope
Optos California - Description
- An ultra-widefield fluorescein angiogram of a 5 year old male with Coats' Disease affecting the left eye. Patient's vision at the time of the image was Nsc 20/30. Dr. Boss states that the fluorescein angiogram confirms Coats' Disease Stage II.

Initializing download.