-
By Maneesh M Bapaye, MD, MBA
Dr. Bapaye Hospital - Uploaded on Sep 10, 2023.
- Last modified by Joshua Friedman on Sep 12, 2023.
- Rating
- Appears in
- 10-Sep-2023
- Condition/keywords
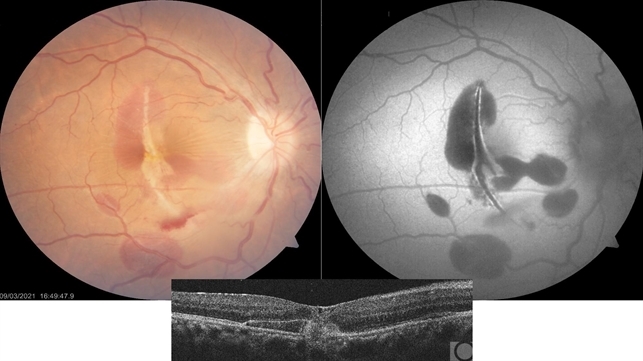
- blunt trauma, choroidal tear, subretinal hemorrhage
- Photographer
- Maneesh Bapaye
- Imaging device
- Fundus camera
- Description
- Multimodal imaging for a 26 years old patient with history of blunt trauma. Color fundus photo shows choroidal tear through foveal center with subretinal haem, autofluorescence image shows hypoAF demarkating margins and extent of the tear while the OCT B-Scan through foveal center shows tear in choroid, BM and RPE along with elevated EZ parallel to fovea with underlying hyper reflectivity s/o hemorrhage

Initializing download.