-
Choroidal Tear-Multimodal imaging
Sep 10 2023 by Maneesh M Bapaye, MD, MBA
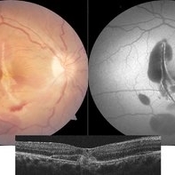
Multimodal imaging for a 26 years old patient with history of blunt trauma. Color fundus photo shows choroidal tear through foveal center with subretinal haem, autofluorescence image shows hypoAF demarkating margins and extent of the tear while the OCT B-Scan through foveal center shows tear in choroid, BM and RPE along with elevated EZ parallel to fovea with underlying hyper reflectivity s/o hemorrhage
Photographer: Maneesh Bapaye
Condition/keywords: blunt trauma, choroidal tear, subretinal hemorrhage
