-
By Kamal Kishore, MD, MBBS
Illinois Retina and Eye Associates
Co-author(s): Kamal Kishore, MD, FASRS, Illinois Retina and Eye Associates, Peoria, IL - Uploaded on Aug 2, 2023.
- Last modified by Joshua Friedman on Aug 7, 2023.
- Rating
- Appears in
- Miscellaneous
- Condition/keywords
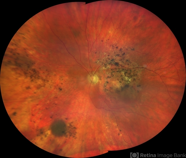
- syphilis
- Photographer
- Tanya Huston, COA
- Imaging device
-
Fundus camera
Zeiss Clarus - Description
- A 54-year-old male with treated syphilitic retinitis left eye.

Initializing download.