-
Silicone Droplets After Avastin Injection
Jan 25 2017 by Kamal Kishore, MD, MBBS
A 74-year-old female complained of seeing a round shadow at the bottom of her field of vision starting soon after intravitreal bevacizumab injection for neovascular macular degeneration. Fundus photograph showed a silicone oil droplet at the top of the photograph (arrow). Bevacizumab was prepared by a compounding pharmacy and was shipped in a BD insulin syringe with an attached 31-g needle. She had previously received 19 intravitreal avastin injections over the past two years without any problems.
Photographer: Brian Chenoweth, CRA, Illinois Retina and Eye Associates
Condition/keywords: silicone oil
-
Retinal Detachment With Multiple Retinal Tears
May 18 2017 by Kamal Kishore, MD, MBBS
77-year-old female presented with a report of gradual decreased vision over the span of one week. Vision finger count. Examination showed retinal detachment with multiple retinal tears and vitreous hemorrhage present.
Photographer: Lindsay Shepard, Illinois Retina and Eye Associates, Peru, IL
Imaging device: Topcon TRC- 50 EX
Condition/keywords: retinal tear
-
Chronic Uveitis From a Sulcus-Fixated One-Piece Acrylic IOL
Jan 16 2019 by Kamal Kishore, MD, MBBS
A 58-year-old female presented with chronic uveitis due to inadvertent placement of temporal haptics of a one-piece acrylic lens (Restor, Alcon) in the sulcus. Extensive loss of iris pigment causing transillumination defect and visibility of the offending haptic are evident in this photograph.
Photographer: Kamal Kishore, MD, Illinois Retina and Eye Associates, Peoria, IL
Imaging device: Google Pixel Smartphone during slit lamp biomicroscopy
Condition/keywords: chronic uveitis, intraocular lens (IOL)
-
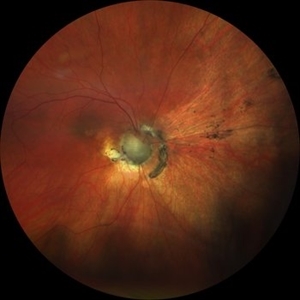
Chronic Retinal Detachment in a Young Myopic Patient
Nov 6 2019 by Kamal Kishore, MD, MBBS
Chronic retinal detachment in a 27-year-old myopic female showing spontaneous reattachment in inferotemporal quadrant, and demarcation line and subretinal gliosis in superotemporal quadrant.
Photographer: Stephanie Shaver
Imaging device: Topcon 50 EX with OIS Winstation
Condition/keywords: chronic retinal detachment, high myopia
-
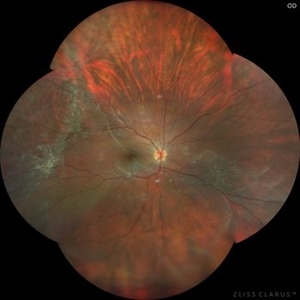
Morning Glory Disk Anomaly
Oct 24 2022 by Kamal Kishore, MD, MBBS
Fundus photograph of the right eye of a 35-year-old female with a history of poor vision since childhood. Pigmentary changes around the nerve, most marked nasally in this image, are common in such eyes and likely represent areas of prior neurosensory retinal detachment.
Photographer: Tanya Huston, COA, Illinois Retina and Eye Associates, Peoria, IL
Imaging device: Zeiss Clarus
Condition/keywords: morning disk anomaly
-
Hypotony maculopathy
Feb 23 2023 by Kamal Kishore, MD, MBBS
Ultrawide field fundus photograph of a 62-year-old male with hypotony following blunt ocular trauma
Photographer: Kim Grabill, COA, Illinois Retinal and Eye Associates, Peoria, IL, USA
Imaging device: Zeiss Clarus
Condition/keywords: hypotony maculopathy
-
Macular dragging OD due to cicatricial ROP
Mar 2 2023 by Kamal Kishore, MD, MBBS
A 21-year-old female with macular dragging OD secondary to untreated cicatricial ROP.
Photographer: Jessi Wright
Imaging device: Zeiss Clarus
Condition/keywords: macular dragging, rop
-
Macular dragging OS in cicatricial ROP
Mar 2 2023 by Kamal Kishore, MD, MBBS
21-year-old with macular dragging due to untreated cicatricial ROP. Note large peripheral avascular retina (PAR) at the nasal periphery.
Photographer: Jessi Wright
Imaging device: Zeiss Clarus
Condition/keywords: macular dragging, rop
-
Retinitis scleropetaria following BB injury left eye
Mar 3 2023 by Kamal Kishore, MD, MBBS
A 41-year-old female with a history of BB gun injury to the left eye about 30 years ago.
Photographer: Kim Grabill, COA, Illinois Retinal and Eye Associates, Peoria, IL, USA
Imaging device: Zeiss Clarus
Condition/keywords: chorioretinitis sclopetaria, scleropetaria
-
Florid Proliferative Diabetic Retinopathy
Jul 19 2023 by Kamal Kishore, MD, MBBS
23-year-old 28-week pregnant female with florid proliferative diabetic retinopathy left eye.
Photographer: Jessi Wright
Imaging device: Zeiss Clarus
Condition/keywords: florid type PDR
-
Black Sunburst in Proliferative Sickle Cell Retinopathy
Jul 25 2023 by Kamal Kishore, MD, MBBS
A 17-year-old male with a black sunburst lesion at superonasal periphery.
Photographer: Jessi Wright
Imaging device: Zeiss Clarus
Condition/keywords: Black Sunburst, sickle cell retinopathy
-
Salmon Patch
Jul 25 2023 by Kamal Kishore, MD, MBBS
A 14-year-old male with proliferative sickle cell retinopathy (PSR) with a salmon patch lesion at the superonasal periphery
Photographer: Kim Grabill, COA, Illinois Retinal and Eye Associates, Peoria, IL, USA
Imaging device: Zeiss Clarus
Condition/keywords: salmon patch, sickle cell retinopathy
-
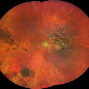
Healed Syphilitic Retinitis
Aug 2 2023 by Kamal Kishore, MD, MBBS
A 54-year-old male with treated syphilitic retinitis left eye.
Photographer: Tanya Huston, COA
Imaging device: Zeiss Clarus
Condition/keywords: syphilis
-
Chronic retinal detachment in a young myope
Jan 5 2024 by Kamal Kishore, MD, MBBS
Fundus photograph of an 18-year-old -5.50 D myope patient presenting with loss of vision in the right eye
Photographer: Tanya Huston, COA, Illinois Retina and Eye Associates, Peoria, IL
Imaging device: Zeiss Clarus
