-
Melanoma-B-Mode Ultrasonography
Nov 12 2013 by Xuefeng Feng, MD, PhD
B-mode ultrasonography of a 52-year-old man with a choriod melanoma.
Photographer: Xing Wang, Ophthalmology Department, Peking University Third Hospital
Condition/keywords: B scan ultrasound
-
Melanoma-Fundus
Nov 12 2013 by Xuefeng Feng, MD, PhD
Fundus photograph of of a 52-year-old man with a choriod melanoma.
Condition/keywords: fundus photograph
-
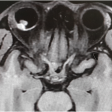
Melanoma-MRI-W1
Nov 12 2013 by Xuefeng Feng, MD, PhD
MRI-W1 image of a 52-year-old man with a choriod melanoma.
Condition/keywords: MRI
-
Melanoma-MRI-W2
Nov 12 2013 by Xuefeng Feng, MD, PhD
MRI-W2 image of a 52-year-old man with a choriod melanoma.
Condition/keywords: MRI
