-
By Harsh Vardhan Singh, MS
AIIMS, Guwahati, India
Co-author(s): Dr Iva R Kalita - Uploaded on Jul 18, 2023.
- Last modified by Joshua Friedman on Jul 19, 2023.
- Rating
- Appears in
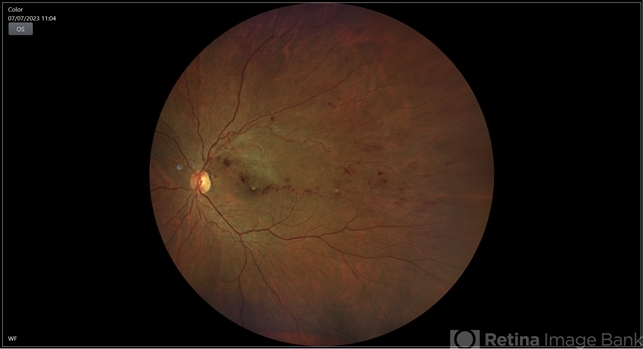
- BRVO
- Condition/keywords
- BRVO, branch retinal vein occlusion (BRVO), non-perfused branch retinal vein occlusion (BRVO)
- Photographer
- Harsh Vardhan Singh, AIIMS, Guwahati
- Imaging device
-
Fundus camera
Zeiss Clarus 700 - Description
- 43-year-old woman presented with left eye old STBRVO with chronic CME of duration 6month showing ring shaped collaterals more evident on red free image

Initializing download.