-
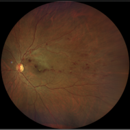
Branch retinal vein occlusion - Colour & Red free image - ring shaped collaterals
Jul 18 2023 by Harsh Vardhan Singh, MS
43-year-old woman presented with left eye old STBRVO with chronic CME of duration 6month showing ring shaped collaterals more evident on red free image
Photographer: Harsh Vardhan Singh, AIIMS, Guwahati
Imaging device: Zeiss Clarus 700
Condition/keywords: branch retinal vein occlusion (BRVO), BRVO, non-perfused branch retinal vein occlusion (BRVO)
-
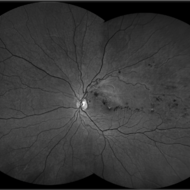
Branch retinal vein occlusion - Colour & Red free image - ring shaped collaterals
Jul 18 2023 by Harsh Vardhan Singh, MS
43-year-old woman presented with left eye old STBRVO with chronic CME of duration 6month showing ring shaped collaterals more evident on red free image
Photographer: Harsh Vardhan Singh, AIIMS, Guwahati
Imaging device: Zeiss Clarus 700
Condition/keywords: branch retinal vein occlusion (BRVO), BRVO, non-perfused branch retinal vein occlusion (BRVO)
-
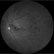
Branch retinal vein occlusion - Colour & Red free image - ring shaped collaterals
Jul 18 2023 by Harsh Vardhan Singh, MS
43-year-old woman presented with left eye old STBRVO with chronic CME of duration 6month showing ring shaped collaterals more evident on red free image
Photographer: Harsh Vardhan Singh, AIIMS, Guwahati
Imaging device: Zeiss Clarus 700
Condition/keywords: branch retinal vein occlusion (BRVO), BRVO, non-perfused branch retinal vein occlusion (BRVO)
-
Branch retinal vein occlusion - Colour & Red free image - ring shaped collaterals
Jul 18 2023 by Harsh Vardhan Singh, MS
43-year-old woman presented with left eye old STBRVO with chronic CME of duration 6month showing ring shaped collaterals more evident on red free image
Photographer: Harsh Vardhan Singh, AIIMS, Guwahati
Imaging device: Zeiss Clarus 700
Condition/keywords: branch retinal vein occlusion (BRVO), BRVO, non-perfused branch retinal vein occlusion (BRVO)
-
Branch retinal vein occlusion - Colour & Red free image - ring shaped collaterals
Jul 18 2023 by Harsh Vardhan Singh, MS
43-year-old woman presented with left eye old STBRVO with chronic CME of duration 6month showing ring shaped collaterals more evident on red free image
Photographer: Harsh Vardhan Singh, AIIMS, Guwahati
Imaging device: Zeiss Clarus 700
Condition/keywords: branch retinal vein occlusion (BRVO), BRVO, non-perfused branch retinal vein occlusion (BRVO)
-
Branch retinal vein occlusion - Colour & Red free image - ring shaped collaterals
Jul 18 2023 by Harsh Vardhan Singh, MS
43-year-old woman presented with left eye old STBRVO with chronic CME of duration 6month showing ring shaped collaterals more evident on red free image
Photographer: Harsh Vardhan Singh, AIIMS, Guwahati
Imaging device: Zeiss Clarus 700
Condition/keywords: branch retinal vein occlusion (BRVO), BRVO, non-perfused branch retinal vein occlusion (BRVO)
-
Branch retinal vein occlusion - Colour & Red free image - ring shaped collaterals
Jul 18 2023 by Harsh Vardhan Singh, MS
43-year-old woman presented with left eye old STBRVO with chronic CME of duration 6month showing ring shaped collaterals more evident on red free image
Photographer: Harsh Vardhan Singh, AIIMS, Guwahati
Imaging device: Zeiss Clarus 700
Condition/keywords: branch retinal vein occlusion (BRVO), BRVO, non-perfused branch retinal vein occlusion (BRVO)
-
Branch retinal vein occlusion - Colour & Red free image - ring shaped collaterals
Jul 18 2023 by Harsh Vardhan Singh, MS
43-year-old woman presented with left eye old STBRVO with chronic CME of duration 6month showing ring shaped collaterals more evident on red free image
Photographer: Harsh Vardhan Singh, AIIMS, Guwahati
Imaging device: Zeiss Clarus 700
Condition/keywords: branch retinal vein occlusion (BRVO), BRVO, non-perfused branch retinal vein occlusion (BRVO)
-
Branch retinal vein occlusion - Colour & Red free image - ring shaped collaterals
Jul 18 2023 by Harsh Vardhan Singh, MS
43-year-old woman presented with left eye old STBRVO with chronic CME of duration 6month showing ring shaped collaterals more evident on red free image
Photographer: Harsh Vardhan Singh, AIIMS, Guwahati
Imaging device: Zeiss Clarus 700
Condition/keywords: branch retinal vein occlusion (BRVO), BRVO, non-perfused branch retinal vein occlusion (BRVO)
-
Branch retinal vein occlusion - Colour & Red free image - ring shaped collaterals
Jul 18 2023 by Harsh Vardhan Singh, MS
43-year-old woman presented with left eye old STBRVO with chronic CME of duration 6month showing ring shaped collaterals more evident on red free image
Photographer: Harsh Vardhan Singh, AIIMS, Guwahati
Imaging device: Zeiss Clarus 700
Condition/keywords: branch retinal vein occlusion (BRVO), BRVO, non-perfused branch retinal vein occlusion (BRVO)
