-
By Akansha Sharma
Co-author(s): Dr. Akansha Sharma, Dr. Denish Patel - Uploaded on Jun 6, 2023.
- Last modified by Joshua Friedman on Jun 6, 2023.
- Rating
- Appears in
- Miscellaneous
- Condition/keywords
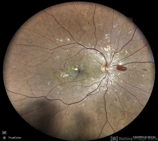
- PDR, proliferative diabetic retinopathy (PDR)
- Photographer
- Dr. Urmil Shah, Dr. Denish Patel, Dr. Akansha Sharma
- Imaging device
- Scanning laser ophthalmoscope
- Description
- COLOUR FUNDUS PHOTOGRAPH OF A 24 YEAR OLD DIABETIC MALE WITH CHANGES OF PROLIFERATIVE DIABETIC RETINOPATHY

Initializing download.