-
By Jeffrey G. Gross, MD, FASRS
- Uploaded on Oct 8, 2012.
- Last modified by Jeffrey G. Gross, MD, FASRS on Oct 15, 2012.
- Rating
- Appears in
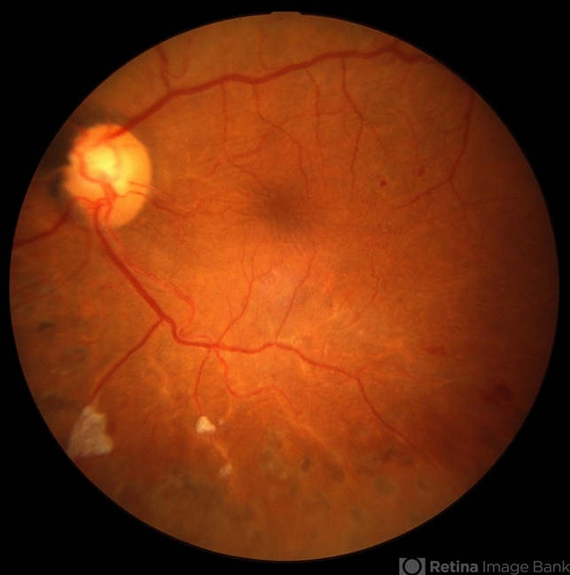
- Proliferative Diabetic Retinopathy
- Condition/keywords
- tractional retinal detachment, macular, post-op, 20/40
- Description
- PDR with traction RD of macular, post-op, 20/40.

Initializing download.