-
PDR with Severe Subhyaloid Hemorrhage
Oct 8 2012 by Jeffrey G. Gross, MD, FASRS
PDR with severe subhyaloid hemorrhage sparing fovea CF.
Condition/keywords: subhyaloid hemorrhage
-
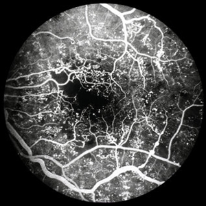
PDR with Severe Macular Ischemia
Oct 8 2012 by Jeffrey G. Gross, MD, FASRS
PDR with severe macular ischemia, FA, early phase.
Condition/keywords: early phase, macular ischemia
-
PDR with Traction RD of Macular
Oct 8 2012 by Jeffrey G. Gross, MD, FASRS
PRD, with traction RD of macular, pre-op, 20/200.
Condition/keywords: 20/200, macular, pre-op, tractional retinal detachment
-
PDR with Traction RD of Macular
Oct 8 2012 by Jeffrey G. Gross, MD, FASRS
PDR with traction RD of macular, post-op, 20/40.
Condition/keywords: 20/40, macular, post-op, tractional retinal detachment
-
PDR with Severe Subhyaloid Hemorrhage
Oct 8 2012 by Jeffrey G. Gross, MD, FASRS
PDR with severe subhyaloid hemorrhage.
Condition/keywords: subhyaloid hemorrhage
-
PDR with Foveal Ischemia and FAZ Enlargement
Oct 8 2012 by Jeffrey G. Gross, MD, FASRS
PDR with foveal ischemia, and FAZ enlargement, multiple microaneurysms, FA, early phase.
Condition/keywords: early phase, enlarged foveal avascular zone, foveal ischemia, microaneurysms
-
Proliferative Diabetic Retinopathy with Macular Traction
Oct 15 2012 by Jeffrey G. Gross, MD, FASRS
PDR with macular traction, pre-op.
Condition/keywords: macular traction, pre-op
-
Proliferative Diabetic Retinopathy with Macular Traction
Oct 15 2012 by Jeffrey G. Gross, MD, FASRS
PDR with macular traction, post-op, PPV and PRP.
Condition/keywords: macular traction, pan-retinal photocoagulation (PRP), pars plana vitrectomy (PPV), post-op
-
Proliferative Diabetic Retinopathy with Severe Subhyaloid Hemorrhage
Oct 15 2012 by Jeffrey G. Gross, MD, FASRS
PDR with severe subhyaloid hemorrhage, pre-op.
Condition/keywords: pre-op, subhyaloid hemorrhage
-
Proliferative Diabetic Retinopathy with Severe Subhyaloid Hemorrhage
Oct 15 2012 by Jeffrey G. Gross, MD, FASRS
PDR with severe subhyaloid hemorrhage post-op, PPV.
Condition/keywords: pars plana vitrectomy (PPV), post-op, subhyaloid hemorrhage
-
Proliferative Diabetic Retinopathy with Severe Subhyaloid Hemorrhage
Oct 16 2012 by Jeffrey G. Gross, MD, FASRS
PDR with severe subhyaloid hemorrhage.
Condition/keywords: subhyaloid hemorrhage
