-
By Vaidehi Sathaye
Sankalp Hospitals, Jamnagar
Co-author(s): Dr. Navneet Mehrotra, Dr. Manish Nagpal, Retina Foundation, Ahmedabad - Uploaded on Dec 18, 2022.
- Last modified by Joshua Friedman on Jan 2, 2023.
- Rating
- Appears in
- Miscellaneous
- Condition/keywords
- FFA
- Photographer
- Dr. Vaidehi Sathaye
- Imaging device
-
Scanning laser ophthalmoscope
Mirante - Description
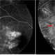
- FFA picture of LE of a 48 year male patient with a choroidal melanoma.

Initializing download.