-
Giant Retinal Tear
Apr 21 2022 by Vaidehi Sathaye
Fundus photograph of a 16 year old male with a Rhegmatogenous Retinal Detachment secondary to a Giant Retinal Tear in the right eye.
Photographer: Dr. Vaidehi Sathaye, Retina Foundation
Condition/keywords: giant retinal tear
-
Best Vitelliform Macular Dystrophy
Jun 26 2022 by Vaidehi Sathaye
8 yr old male child with Best Vitelliform Macular Dystrophy
Photographer: Dr. Vaidehi Sathaye
Imaging device: Mirante
Condition/keywords: Best vitelliform macular dystrophy (BVMD)
-
Best Vitelliform Macular Dystrophy
Jun 26 2022 by Vaidehi Sathaye
8 yr old male child with Best Vitelliform Macular Dystrophy
Photographer: Dr. Vaidehi Sathaye
Imaging device: Mirante
Condition/keywords: Best vitelliform macular dystrophy (BVMD)
-
Exudative Retinal Detachment secondary to Leber's Miliary Aneurysm in a case of Retinitis Pigmentosa
Oct 13 2022 by Vaidehi Sathaye
Fundus Photograph of RE of a 23 year male patient , with an Exudative Retinal Detachment secondary to Leber's Miliary Aneurysm in a case of Retinitis Pigmentosa.
Photographer: Dr. Vaidehi Sathaye
Imaging device: Mirante
Condition/keywords: exudative detachment, Leber's miliary aneurysm, retinitis pigmentosa
-
Choroidal Neovascular Membrane
Oct 14 2022 by Vaidehi Sathaye
Fundus photograph of LE of a 68 year male patient with a choroidal neovascular membrane
Photographer: Dr. Vaidehi Sathaye
Imaging device: Mirante
Condition/keywords: CNVM
-
OCT of a Choroidal Neovascular Membrane
Oct 14 2022 by Vaidehi Sathaye
OCT image of a 68 year male patient with a choroidal neovascular membrane in his LE
Photographer: Dr. Vaidehi Sathaye
Imaging device: Mirante
Condition/keywords: CNVM, OCT
-
Juvenile X-linked Retinoschisis
Nov 8 2022 by Vaidehi Sathaye
Widefield colour image of RE of a 9 year male patient with Juvenile X-linked Retinoschisis, showing spoke-wheel pattern at the macula
Photographer: Dr. Vaidehi Sathaye
Imaging device: Mirante
Condition/keywords: color photo, foveal schisis, spokewheel pattern, x-linked retinoschisis (XLRS)
-
Juvenile X-linked Retinoschisis
Nov 8 2022 by Vaidehi Sathaye
Retro image of RE of a 9 year male patient with Juvenile X-linked Retinoschisis
Photographer: Dr. Vaidehi Sathaye
Imaging device: Mirante
Condition/keywords: foveal schisis, retro mode
-
Juvenile X-linked Retinoschisis
Nov 8 2022 by Vaidehi Sathaye
OCT image of RE of a 9 year male patient with Juvenile X-linked Retinoschisis
Photographer: Dr. Vaidehi Sathaye
Imaging device: Mirante
Condition/keywords: foveal schisis, optical coherence tomography (OCT)
-
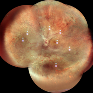
Pigment Epithelial Detachments
Nov 8 2022 by Vaidehi Sathaye
66 year male patient, with multiple PEDs in RE
Photographer: Dr. Vaidehi Sathaye
Imaging device: Mirante
Condition/keywords: pigment epithelial detachment (PED)
-
Large Pigment Epithelial Detachments
Nov 8 2022 by Vaidehi Sathaye
66 year male patient with large PEDs in LE
Photographer: Dr. Vaidehi Sathaye
Imaging device: Mirante
Condition/keywords: pigment epithelial detachment (PED)
-
Juvenile X-linked Retinoschisis
Nov 8 2022 by Vaidehi Sathaye
Autofluorescence image of RE of a 9 year male patient with Juvenile X-linked Retinoschisis
Photographer: Dr. Vaidehi Sathaye
Imaging device: Mirante
Condition/keywords: fundus autofluorescence (FAF), x-linked retinoschisis (XLRS)
-
ERM under Silicon oil
Nov 9 2022 by Vaidehi Sathaye
Fundus photograph of LE of a 45 year male patient with ERM under Silicon Oil. Patient had a history of undergoing Vitrectomy with Silicon Oil Infusion for a redetachment after failure of Vitrectomy with C3F8 tamponade for a macula-off Rhegmatogenous Retinal Detachment.
Photographer: Dr. Vaidehi Sathaye
Imaging device: Mirante
Condition/keywords: ERM, silicone oil
-
ERM under Silicon oil
Nov 9 2022 by Vaidehi Sathaye
Fundus photograph of LE of a 45 year male patient with ERM under Silicon Oil. Patient had a history of undergoing Vitrectomy with Silicon Oil Infusion for a redetachment after failure of Vitrectomy with C3F8 tamponade for a macula-off Rhegmatogenous Retinal Detachment.
Photographer: Dr. Vaidehi Sathaye
Imaging device: Mirante
Condition/keywords: silicone oil
-
FEVR
Nov 22 2022 by Vaidehi Sathaye
Widefield FA montage of LE of a 23 year old male patient with FEVR
Photographer: Dr. Vaidehi Sathaye
Imaging device: Mirante
Condition/keywords: FA, familial exudative vitreoretinopathy (FEVR)
-
Vitreous Hemorrhage with Sub hyaloid hemorrhage with branch retinal vein occlusion in case of high risk PDR
Nov 22 2022 by Vaidehi Sathaye
Widefield Color photo montage of LE of 53 yr old Diabetic female with Vitreous hemorrhage with subhyaloid hemorhage with branch retinal vein occlusion in a case of HRC-PDR
Photographer: Dr. Vaidehi Sathaye
Imaging device: Mirante
Condition/keywords: branch retinal vein occlusion (BRVO), HRC-PDR, subhyaloid hemorrhage, vitreous hemorrhage
-
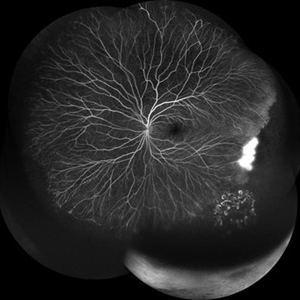
Retinal Cavernous Hemangioma
Nov 22 2022 by Vaidehi Sathaye
Widefield FA of LE of a 9 yr male patient with Cavernous Hemangioma appearing as a cluster of grapes
Photographer: Dr. Vaidehi Sathaye
Imaging device: Mirante
Condition/keywords: cavernous hemangioma of the retina, FA
-
Intermediate uveitis
Nov 23 2022 by Vaidehi Sathaye
Fundus photograph of LE of 21 year male with Intermediate uveitis with snowballs in vitreous inferiorly
Photographer: Dr. Vaidehi Sathaye
Imaging device: Mirante
Condition/keywords: intermediate uveitis, snowballs
-
Intermediate uveitis
Nov 23 2022 by Vaidehi Sathaye
Fundus photograph of RE of 21 year male with Intermediate uveitis with snowballs in vitreous inferiorly
Photographer: Dr. Vaidehi Sathaye
Imaging device: Mirante
Condition/keywords: intermediate uveitis, snowballs
-
Optic nerve Avulsion with Vitreous Hemorrhage
Dec 5 2022 by Vaidehi Sathaye
Fundus photograph of LE of a 16 year old male , with optic nerve avulsion with vitreous hemorrhage
Photographer: Dr. Vaidehi Sathaye
Imaging device: Mirante
Condition/keywords: optic nerve avulsion, vitreous hemorrhage
-
Choroidal Melanoma
Dec 18 2022 by Vaidehi Sathaye
Wide-field picture of LE of a 48 year male patient with a choroidal melanoma.
Photographer: Dr. Vaidehi Sathaye
Imaging device: Mirante
-
Choroidal Melanoma
Dec 18 2022 by Vaidehi Sathaye
FFA picture of LE of a 48 year male patient with a choroidal melanoma.
Photographer: Dr. Vaidehi Sathaye
Imaging device: Mirante
Condition/keywords: FFA
-
Optic nerve head drusen
Dec 26 2022 by Vaidehi Sathaye
FAF photograph of RE of a 32 year old female with Optic nerve head drusen
Photographer: Dr. Vaidehi Sathaye
Imaging device: Mirante
Condition/keywords: drusen of optic disc
-
Optic nerve head drusen
Dec 26 2022 by Vaidehi Sathaye
FAF photograph of LE of a 32 year old female with Optic nerve head drusen
Photographer: Dr. Vaidehi Sathaye
Imaging device: Mirante
Condition/keywords: drusen of optic disc
-
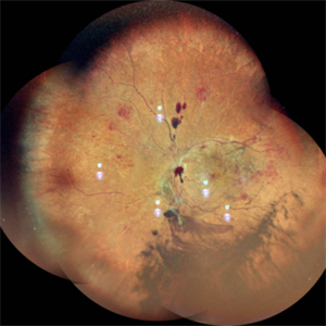
Optic nerve head drusen
Dec 26 2022 by Vaidehi Sathaye
Fundus Photograph of LE of a 32 year old female with Optic nerve head drusen
Photographer: Dr. Vaidehi Sathaye
Imaging device: Mirante
Condition/keywords: drusen of optic disc
-
Optic nerve head drusen
Dec 26 2022 by Vaidehi Sathaye
Fundus Photograph of RE of a 32 year old female with Optic nerve head drusen
Photographer: Dr. Vaidehi Sathaye
Imaging device: Mirante
Condition/keywords: drusen of optic disc
-
Giant Retinal Tear
Dec 26 2022 by Vaidehi Sathaye
Fundus photograph of RE of a 61 year male patient with a Giant Retinal Tear
Photographer: Dr. Vaidehi Sathaye
Imaging device: Mirante
Condition/keywords: giant retinal tear
-
Choroidal Neovascular Membrane in a case of Reactivated Ocular Toxoplasmosis
Dec 29 2022 by Vaidehi Sathaye
Fundus Photograph of LE of a 34 year old female with a CNVM secondary to Reactivated Ocular Toxoplasmosis
Photographer: Dr. Vaidehi Sathaye
Imaging device: Mirante
Condition/keywords: choroidal neovascular membrane (CNVM), ocular toxoplasmosis
-
Bullous Rhegmatogenous Retinal Detachment with Macula off
Jan 11 2023 by Vaidehi Sathaye
Fundus photograph of RE of a 64 yr male with RE Superotemporal bullous Rhegamatogenous Retinal Detachment with macula-off
Photographer: Dr. Vaidehi Sathaye
Imaging device: Mirante
Condition/keywords: bullous retinal detachment, macula-off
-
Proliferative Diabetic Retinopathy
Feb 24 2023 by Vaidehi Sathaye
Fundus photograph of RE of a 60 year male with PDR, with traction over macula
Photographer: Dr. Vaidehi Sathaye
Imaging device: Mirante
Condition/keywords: HRC-PDR, PDR
-
Proliferative Diabetic Retinopathy
Feb 24 2023 by Vaidehi Sathaye
Fundus photograph of LE of a 60 year male with PDR, s/p laser
Photographer: Dr. Vaidehi Sathaye
Imaging device: Mirante
Condition/keywords: PDR
-
Retinoschisis
Aug 10 2023 by Vaidehi Sathaye
Widefield montage of RE of a 65 year old male patient with retinoschisis in the inferotemporal periphery
Photographer: Dr. Vaidehi Sathaye
Imaging device: Mirante
Condition/keywords: retinoschisis
-
CMV retinitis
Aug 10 2023 by Vaidehi Sathaye
Fundus photograph of LE of a 24 year male patient with Fulminant type of CMV retinitis.
Photographer: Dr. Vaidehi Sathaye
Condition/keywords: CMV retinitis
-
Resolving CMV retinitis
Aug 10 2023 by Vaidehi Sathaye
Fundus photograph of LE of a 24 year old male patient showing resolving CMV retinitis lesion after initiation of Intravitreal Ganciclovir therapy
Photographer: Dr. Vaidehi Sathaye
Condition/keywords: CMV retinitis
-
Epiretinal Membrane
Aug 22 2023 by Vaidehi Sathaye
Fundus photograph of RE of a 57 year old female with Epiretinal membrane
Photographer: Dr. Vaidehi Sathaye
Imaging device: Mirante
Condition/keywords: ERM
-
Lattice Degeneration
Aug 22 2023 by Vaidehi Sathaye
Wide field Montage of RE of a 46 year male with Lattice degeneration
Photographer: Dr. Vaidehi Sathaye
Imaging device: Mirante
Condition/keywords: lattice degeneration
-
Retinal Detachment
Aug 22 2023 by Vaidehi Sathaye
Widefiled montage of LE of a 46 year male with Retinal detachment
Photographer: Dr. Vaidehi Sathaye
Imaging device: Mirante
-
Disc Edema
Aug 22 2023 by Vaidehi Sathaye
Fundus photograph of RE of a 36 year female with disc edema. MRI Brain+Orbit showed evidence of a space-occupying lesion.
Photographer: Dr. Vaidehi Sathaye
Imaging device: Mirante
Condition/keywords: disc edema
-
Disc Edema
Aug 22 2023 by Vaidehi Sathaye
Fundus photograph of LE of a 36 year female with disc edema. MRI Brain+Orbit showed evidence of a space-occupying lesion.
Photographer: Dr. Vaidehi Sathaye
Imaging device: Mirante
Condition/keywords: disc edema
-
Disc Edema
Aug 22 2023 by Vaidehi Sathaye
Widefiled photo of RE of a 36 year female with disc edema. MRI Brain+Orbit showed evidence of a space-occupying lesion.
Photographer: Dr. Vaidehi Sathaye
Imaging device: Mirante
Condition/keywords: disc edema
-
Disc Edema
Aug 22 2023 by Vaidehi Sathaye
Widefiled photo of LE of a 36 year female with disc edema. MRI Brain+Orbit showed evidence of a space-occupying lesion.
Photographer: Dr. Vaidehi Sathaye
Imaging device: Mirante
Condition/keywords: disc edema
-
Retinal Detachment Under Silicon Oil
Aug 22 2023 by Vaidehi Sathaye
Widefield photo of LE of a 56 year female with Retinal Detachment under Silicon Oil.
Photographer: Dr. Vaidehi Sathaye
Imaging device: Mirante
Condition/keywords: Retinal detachment under Silicon Oil
-
Retinal Detachment
Aug 22 2023 by Vaidehi Sathaye
Widefield Photo of RE of a 10 year old female with Retinal Detachment in the superotemporal periphery.
Photographer: Dr. Vaidehi Sathaye
Imaging device: Mirante
-
Choroidal Mass
Sep 21 2023 by Vaidehi Sathaye
Widefield photograph of RE of a 68 year male with choroidal mass.
Photographer: Dr. Vaidehi Sathaye
Imaging device: Mirante
Condition/keywords: choroidal mass
-
Berlin's edema
Sep 21 2023 by Vaidehi Sathaye
Fundus photograph of LE of a 28 year male with Berlin's edema, status post blunt trauma with tennis ball
Photographer: Dr. Vaidehi Sathaye
Imaging device: Mirante
Condition/keywords: Berlin's edema, commotio retinae
-
Berlin's edema
Sep 21 2023 by Vaidehi Sathaye
Widefield photograph of LE of a 28 year male with Berlin's edema, status post blunt trauma with tennis ball
Photographer: Dr. Vaidehi Sathaye
Imaging device: Mirante
Condition/keywords: Berlin's edema, commotio retinae
-
Ischaemic Central Retinal Vein Occlusion with cilioretinal artery occlusion
Oct 13 2023 by Vaidehi Sathaye
Fundus photograph of RE of a 40 year old female with Ischaemic Central Retinal Vein Occlusion with cilioretinal artery occlusion
Photographer: Dr. Vaidehi Sathaye
Imaging device: Mirante
Condition/keywords: central retinal vein occlusion (CRVO), cilioretinal artery occlusion, ischemic CRVO
-
Familial Exudative Vitreoretinopathy
Oct 16 2023 by Vaidehi Sathaye
Widefield montage of RE of a 13 year old male with Stage 1 Familial Exudative Vitreoretinopathy
Photographer: Dr. Vaidehi Sathaye
Imaging device: Mirante
Condition/keywords: familial exudative vitreoretinopathy (FEVR), fluorescein angiogram (FA)
-
Familial Exudative Vitreoretinopathy
Oct 16 2023 by Vaidehi Sathaye
Widefield montage of LE of a 13 year old male with Stage 1 Familial Exudative Vitreoretinopathy
Photographer: Dr. Vaidehi Sathaye
Imaging device: Mirante
Condition/keywords: familial exudative vitreoretinopathy (FEVR), fluorescein angiogram (FA)
-
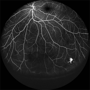
Familial Exudative Vitreoretinopathy
Oct 16 2023 by Vaidehi Sathaye
Widefield FA montage of RE of a 13 year old male, showing leakages and capillary non-perfusion areas , in a case of Stage 1 Familial Exudative Vitreoretinopathy
Photographer: Dr. Vaidehi Sathaye
Imaging device: Mirante
Condition/keywords: familial exudative vitreoretinopathy (FEVR), fluorescein angiogram (FA)
-
Familial Exudative Vitreoretinopathy
Oct 16 2023 by Vaidehi Sathaye
Widefield FA montage of LE of a 13 year old male, showing leakages and capillary non-perfusion areas , in a case of Stage 1 Familial Exudative Vitreoretinopathy
Photographer: Dr. Vaidehi Sathaye
Imaging device: Mirante
Condition/keywords: familial exudative vitreoretinopathy (FEVR), fluorescein angiogram (FA)
-
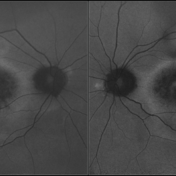
Angioid streaks
Oct 25 2023 by Vaidehi Sathaye
Autofluorescence images of BE of a 59 year old male with Angioid streaks
Photographer: Dr. Vaidehi Sathaye
Imaging device: Mirante
Condition/keywords: Angioid Streaks, autofluorescence imaging
-
Macular dystrophy
Oct 25 2023 by Vaidehi Sathaye
Fundus photographs of BE of a 48 year old male with macular dystrophy
Photographer: Dr. Vaidehi Sathaye
Imaging device: Mirante
Condition/keywords: color fundus photograph, macular dystrophy
-
Macular dystrophy
Oct 25 2023 by Vaidehi Sathaye
Autofluorescence images of BE of a 48 year old male with macular dystrophy
Photographer: Dr. Vaidehi Sathaye
Imaging device: Mirante
Condition/keywords: autofluorescence imaging, macular dystrophy
-
Subretinal Neovascular Membrane
Oct 25 2023 by Vaidehi Sathaye
Fundus of a 45 year old female with SRNVM in the LE
Photographer: Dr. Vaidehi Sathaye
Imaging device: Mirante
Condition/keywords: color photo, SRNVM
-
Subretinal Neovascular Membrane
Oct 25 2023 by Vaidehi Sathaye
OCTA image showing Neovascular network at the macula in the ORCC slab , in the LE of a 45 year old female
Photographer: Dr. Vaidehi Sathaye
Imaging device: Mirante
Condition/keywords: OCTA, SRNVM
-
Subretinal Neovascular Membrane
Oct 25 2023 by Vaidehi Sathaye
OCT image of a 45 year old female with SRNVM in the LE
Photographer: Dr. Vaidehi Sathaye
Imaging device: Mirante
Condition/keywords: OCT, SRNVM
-
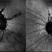
Macular dystrophy
Oct 31 2023 by Vaidehi Sathaye
Fundus photographs of BE of a 23 year old female with macular dystrophy
Photographer: Dr. Vaidehi Sathaye
Imaging device: Mirante
Condition/keywords: Macular Dystrophy
-
Macular dystrophy
Oct 31 2023 by Vaidehi Sathaye
Autofluorescence images of BE of a 23 year old female with macular dystrophy
Photographer: Dr. Vaidehi Sathaye
Imaging device: Mirante
Condition/keywords: Autofluorescence, Macular Dystrophy
-
Leaking Aneurysms in Diabetic Retinopathy
Mar 22 2024 by Vaidehi Sathaye
Fundus photograph of LE of a 50 year old female with leaking aneurysms encircled by hard exudates, as a sequelae of Diabetic Retinopathy.
Photographer: Dr. Vaidehi Sathaye
Imaging device: Topcon
Condition/keywords: aneurysm, diabetic retinopathy, hard exudates
