File number: 102994
Comments
-
Niloofar Piri, MD (March 24 2023)Thank you!
-
Manish Nagpal, MD, FRCS (UK), FASRS (March 24 2023)
amazing capture
Sign in to comment.
-
By Niloofar Piri, MD
SSM Health Group, St Louis University
Co-author(s): William J Anderson, MD, Saint Louis university; Sean Kelso, Saint Louis University - Uploaded on Nov 29, 2022.
- Last modified by Joshua Friedman on Jul 13, 2023.
- Image of the week
-
Jul 16, 2023
View all images of the week - Rating
- Appears in
- Miscellaneous
- Condition/keywords
- hereditary retinal degeneration, hereditary retinal dystrophy, rod cone dystrophy
- Photographer
- Sean Kelso, Saint Louis University
- Imaging device
- Fundus camera
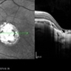
- Description
- Fundus autofluorescence of the left eye in a 58 yo male with rod cone dystrophy. He presented with night blindness and peripheral vision loss since youth and recent decrease in central vision for the past 10 years. Notice multiple coin shaped hypoautofluorescent pacthes within central 20 degrees which are coalescing centrally. (fundus photo uploaded separately) He has one pathogenic variants of both CEP290 and PRPH2 genes.

Initializing download.