-
By Hamza Ahmed Shawky
Co-author(s): Mohamed Tawfik, Alferdaws eye hospital, Retina unit - Uploaded on Apr 14, 2018.
- Last modified by Caroline Bozell on Apr 17, 2018.
- Rating
- Appears in
- Miscellaneous
- Condition/keywords
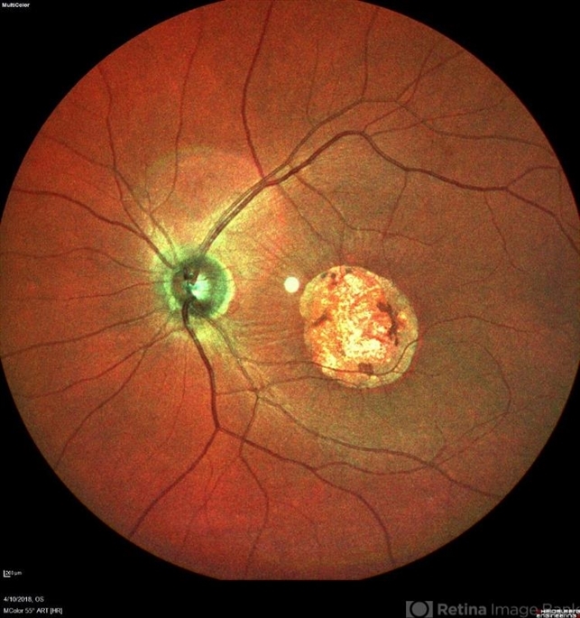
- macular dystrophy, central areolar choroidal dystrophy (CACD), retinal dystrophy, hereditary retinal dystrophy
- Photographer
- Hamza Shawky, Alferdaws eye hospital, Retina unit
- Imaging device
- Heidelberg Spectralis
- Description
- Left fundus color photograph of a 35-year-old man with central areolar choroidal dystrophy, BCVA is 6/60.

Initializing download.