-
By T. P . VIGNESH, MBBS,MS
Aravind eye hospital - Uploaded on Nov 10, 2022.
- Last modified by Joshua Friedman on Nov 14, 2022.
- Rating
- Appears in
- Central serous chorioretinopathy
- Condition/keywords
- chronic central serous chorioretinopathy (CSCR)
- Photographer
- Priyanka
- Imaging device
-
Optical coherence tomography system
Heidelberg Spectralis - Description
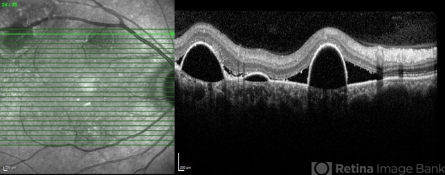
- SD-OCT of a 45 year old man , revealing multiple serous retinal pigment epithelial detachments (PED) just inferior to superior arcade .

Initializing download.