-
Central serous chorioretinopathy with subretinal fibrin
Apr 4 2022 by T. P . VIGNESH, MBBS,MS
Fundus photo of left eye of a 37 year old female patient, who presented with defective vision of 1 month duration ,at 24 weeks of pregnancy, revealing Central serous chorioretinopathy with dense subretinal fibrin.
Photographer: Bharathi Singaravel
Imaging device: Zeiss Clarus
Condition/keywords: central serous chorioretinopathy (CSCR)
-
Tear drop CSCR
Jun 20 2022 by T. P . VIGNESH, MBBS,MS
Ultra wide field fundus photograph of left eye of 47 year old male patient, revealing pigmentary changes and RPE degeneration at the macula as well as inferiorly suggestive of old tear drop CSCR .
Photographer: Shivanath
Imaging device: OPTOS
Condition/keywords: chronic central serous chorioretinopathy (CSCR)
-
Central serous chorioretinopathy with subretinal fibrotic band
Jun 30 2022 by T. P . VIGNESH, MBBS,MS
Fundus photo of a 37 year old man with multiple areas of RPE atrophy in the posterior pole , subretinal fibrotic band in the inferior part of macula and inferior tear drop sign .
Photographer: Bharathi Singaravel
Imaging device: Zeiss Clarus
Condition/keywords: chronic central serous chorioretinopathy (CSCR)
-
CSCR
Oct 19 2022 by T. P . VIGNESH, MBBS,MS
Fundus autofluorescence image of a 45 year old man with CSCR revealing subretinal precipitates as hyperautofluorescent dots.
Photographer: Shivanath
Imaging device: Heidelberg Spectralis
Condition/keywords: central serous chorioretinopathy (CSCR)
-
Chronic Central serous chorioretinopathy
Nov 10 2022 by T. P . VIGNESH, MBBS,MS
SD-OCT of a 45 year old man , revealing multiple serous retinal pigment epithelial detachments (PED) just inferior to superior arcade .
Photographer: Priyanka
Imaging device: Heidelberg Spectralis
Condition/keywords: chronic central serous chorioretinopathy (CSCR)
-
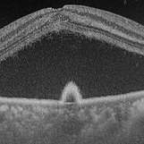
Central serous chorioretinopathy
Nov 18 2022 by T. P . VIGNESH, MBBS,MS
OCT of a 45 year old man revealing serous macular detachment with a subfoveal PED .
Photographer: Priyanka
Imaging device: Topcon Triton
Condition/keywords: central serous chorioretinopathy (CSCR)
-
Central Serous Chorioretinopathy
Mar 7 2025 by T. P . VIGNESH, MBBS,MS
Fundus photograph of the right eye of an 32-year-old woman with CSCR.
Photographer: Sivanath
Imaging device: EIDON
Condition/keywords: central serous chorioretinopathy (CSCR)
-
Central Serous Chorioretinopathy
Mar 19 2025 by T. P . VIGNESH, MBBS,MS
Fundus photograph of a 40-year-old man with bifocal CSCR.
Photographer: Sivanath
Imaging device: EIDON
Condition/keywords: central serous chorioretinopathy (CSCR), multifocal central serous chorioretinopathy (CSCR)
-
CSCR
Jul 8 2025 by T. P . VIGNESH, MBBS,MS
Fundus photograph of an 45 year old man revealing CSCR with subretinal precipitates.
Photographer: Sivanath
Imaging device: EIDON
Condition/keywords: central serous chorioretinopathy (CSCR)
