
File number: 100871
Comments
-
Crystal L Repsel (October 26 2022)
Thats an amazing photo!
Sign in to comment.
-
By Kamal Kishore, MD, MBBS
Illinois Retina and Eye Associates
Co-author(s): Kamal Kishore, MD, FASRS, Illinois Retina and Eye Associates, Peoria, IL - Uploaded on Oct 24, 2022.
- Last modified by Joshua Friedman on Oct 25, 2022.
- Rating
- Appears in
- Miscellaneous
- Condition/keywords
- Photographer
- Tanya Huston, COA, Illinois Retina and Eye Associates, Peoria, IL
- Imaging device
-
Fundus camera
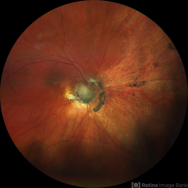
Zeiss Clarus - Description
- Fundus photograph of the right eye of a 35-year-old female with a history of poor vision since childhood. Pigmentary changes around the nerve, most marked nasally in this image, are common in such eyes and likely represent areas of prior neurosensory retinal detachment.