Search results (66 results)
-
Massive Commotio Retinae
Oct 20 2020 by Veronika Yehezkeli
Fundus photograph of a 24-year-old male, made after blunt trauma with a plastic bottle. Note massive commotio retinae and preretinal hemorrhages in the contralateral to trauma area.
Photographer: Veronika Yehezkeli, Meir medical center, Israel
Condition/keywords: blunt trauma, commotio retinae, preretinal hemorrhage, trauma
-
Premacular Subhyaloid Hemorrhage
Jan 20 2021 by Nivesh Gupta
A 41-year-old male patient complaining of diminution of vision in left eye since 6 days. His best corrected visual acuity finger counting at 2 meters.
Photographer: Nivesh Gupta, Retina Fellow, Retina Foundation, Ahmedabad, India
Condition/keywords: hypertensive retinopathy, preretinal hemorrhage, subhyaloid hemorrhage
-
Preretinal Hemorrhage
May 6 2017 by Mitzy E Torres Soriano, MD
Fundus photograph of a 36-year-old-woman with a preretinal subhyaloid hemorrhage (valsalva retinopathy).
Photographer: Mitzy Torres Soriano
Condition/keywords: macular hemorrhage, premacular hemorrhage, preretinal hemorrhage, subhyaloid hemorrhage, valsalva retinopathy
-
Acute myeloid leukemia
Dec 9 2012 by Mallika Goyal, MD
Right eye of a 21-year-old gentleman with acute myeloid leukemia who is undergoing chemotherapy and has low platelet counts (17,000) shows multiple pre-retinal haemorrhages. Other eye has similar picture. There is no vascular occlusion or inflammation. Visual prognosis remains good with spontaneous resolution expected over few weeks.
Photographer: Mallika Goyal, MD, Apollo Health City, Hyderabad, India
Condition/keywords: preretinal hemorrhage
-
Central Retinal Vein Occlusion with Preretinal Hemorrhage
Mar 16 2021 by MOHIT GUPTA
Fundus photograph of right eye of a young male after 2nd dose of Covishield vaccine presented to us with central retinal vein occlusion and preretinal hemorrhage at macula in right eye.
Photographer: Dr Mohit Gupta , Prakash Netra Kendr, Lucknow, India
Imaging device: zeiss clarus
Condition/keywords: central retinal vein occlusion (CRVO), preretinal hemorrhage
-
Laser Photocoagulation
Nov 9 2012 by Norman Byer
This shows the same lesion four days after laser photo coagulation. The new hemorrhages seen in this photograph did not occur during the photocoagulation but developed within the next four days.
Condition/keywords: argon photocoagulation, laser photocoagulation, preretinal hemorrhage
-
Mixed Occlusion of Artery and Vein
Jan 6 2021 by Renata Garcia Franco, Md
Male with a history of smoking, sudden low vision of the right eye, retinal neovascularization and inferior preretinal hemorrhage.
Photographer: Fatima Hernandez, Instituto de la Retina del Bajio SC
Imaging device: Zeiss
Condition/keywords: arterial occlusion
-
Pre Macular Subhyaloid Hemorrhage
Jan 20 2021 by Nivesh Gupta
A 41 year old male patient complaining of diminution of vision in left eye since 6 days. His best corrected visual acuity finger counting at 2 meters.
Photographer: Nivesh Gupta, Retina Fellow, Retina Foundation, Ahmedabad, India
Condition/keywords: hypertensive retinopathy, preretinal hemorrhage, subhyaloid hemorrhage
-
Proliferative Diabetic Retinopathy (PDR)
Sep 11 2012 by Hamid Ahmadieh, MD
Wide- field FA image of a 55-year-old woman with active PDR and the history of scatter laser photocoagulation.
Photographer: Hamid Ahmadieh, MD, Ophthalmic Research Center, Labbafinejad Medical Center, Shahid Beheshti University of Medical Sciences
Imaging device: Heidelberg HRA
Condition/keywords: preretinal hemorrhage, retinal neovascularization, scatter laser photocoagulation
-
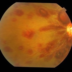
Dengue Fever
Oct 25 2012 by Mallika Goyal, MD
Fundus photograph of the left eye of a 32-year-old gentleman with dengue fever and thrombocytopenia. Photograph shows extensive retinal and pre-retinal haemorrhages, roth spots but no dengue retinitis. Same patient as in images 1-5.
Condition/keywords: Dengue Fever, preretinal hemorrhage, rosacea conjunctivitis
-
Dense Preretinal Hemorrhage
May 15 2020 by Iuri Golubev, MD
34-year-old male w/h/o DM type 1 and PDR.
Condition/keywords: preretinal hemorrhage, proliferative diabetic retinopathy (PDR)
-
Preretinal Hemorrhage due to Proliferative Diabetic Retinopathy
Oct 17 2012 by Sharon Fekrat, MD FACS FASRS
Fluorescein angiography of right eye with preretinal hemorrhage from neovascularization elsewhere associated with proliferative diabetic retinopathy. Note associated fibrosis.
Photographer: John Reaves, Ophthalmic Photographer, Durham VA Medical Center, Durham, NC
Condition/keywords: preretinal hemorrhage
-
Proliferative Diabetic Retinopathy
Sep 15 2012 by Hamid Ahmadieh, MD
Infrared image of a 30-year-old woman with the history of scatter laser photocoagulation and a preretinal hemorrhage due to active PDR .
Photographer: Hamid Ahmadieh, MD, Ophthalmic Research Center, Labbafinejad Medical Center, Shahid Beheshti University of Medical Sciences
Imaging device: Heidelberg HRA
Condition/keywords: infrared image, preretinal hemorrhage
-
Proliferative Diabetic Retinopathy (PDR)
Sep 11 2012 by Hamid Ahmadieh, MD
FA image of a 55-year-old woman with active PDR.
Photographer: Hamid Ahmadieh, MD, Ophthalmic Research Center, Labbafinejad Medical Center, Shahid Beheshti University of Medical Sciences
Imaging device: Heidelberg HRA
Condition/keywords: preretinal hemorrhage, retinal neovascularization
-
Scleral Indentation
Nov 9 2012 by Norman Byer
This is the same lesion with scleral indentation. You can see the small discrete preretinal hemorrhage and the sharply circumscribed area of elevated retina with subretinal fluid beneath it. No retinal break is visible, but the posterior vitreous is detached and exerting traction at this site. The area was surrounded with argon laser treatment the same day as the initial examination.
Condition/keywords: posterior vitreous detachment, preretinal hemorrhage, scleral indentation, subretinal fluid, vitreous traction
-
Preretinal Hemorrhage - OCT
Sep 20 2012 by Allen Chiang, MD, FASRS
34-year old woman with preretinal hemorrhage in the macula, with dehemoglobinization occuring within the central portion of the hemorrhage while undergoing observation.
Imaging device: Zeiss Cirrus
Condition/keywords: preretinal hemorrhage
-
Preretinal Hemorrhage
Sep 20 2012 by Allen Chiang, MD, FASRS
34-year old woman with preretinal hemorrhage in the macula, with dehemoglobinization occuring within the central portion of the hemorrhage while undergoing observation.
Imaging device: Zeiss Cirrus
Condition/keywords: preretinal hemorrhage
-
Preretinal hemorrhage - BRVO
Jan 11 2013 by Alex P. Hunyor, MD
Altered preretinal haemorrhage from neovascularisation due to right branch retinal vein obstruction (BRVO).
Condition/keywords: branch retinal vein occlusion (BRVO), preretinal hemorrhage
-
Proliferative Diabetic Retinopathy
Sep 15 2012 by Hamid Ahmadieh, MD
FA image of a 30-year-old woman with the history of scatter laser photocoagulation, NVE and a preretinal hemorrhage due to active PDR .
Photographer: Hamid Ahmadieh, MD, Ophthalmic Research Center, Labbafinejad Medical Center, Shahid Beheshti University of Medical Sciences
Imaging device: Heidelberg HRA
Condition/keywords: preretinal hemorrhage
-
"Boat-Shaped" Preretinal Hemorrhage
Feb 21 2019 by Mitzy E Torres Soriano, MD
Color fundus photograph showing preretinal (subhyaloid) hemorrhage in a diabetic patient with proliferative diabetic retinopathy.
Photographer: Andrea Vitale, MD
Condition/keywords: preretinal hemorrhage, proliferative diabetic retinopathy (PDR), subhyaloid hemorrhage
-
BRVO Complications
Mar 29 2013 by Henry J. Kaplan, MD
Old superotemporal BRVO as a sclerotic vessel with NVD and NVE and vitreous hemorrhage and a preretinal hemorrhage.
Condition/keywords: branch retinal vein occlusion (BRVO), neovascularization (NV), neovascularization of the disc (NVD), vitreous hemorrhage
-
CRVO With Preretinal Hemorrhage
Mar 16 2021 by MOHIT GUPTA
Fundus photograph of right eye of a young male after 2nd dose of Covishield vaccine presented to us with central retinal vein occlusion and preretinal hemorrhage at macula in right eye.
Photographer: Dr Mohit Gupta
Imaging device: Zeiss Clarius
Condition/keywords: central retinal vein occlusion (CRVO), preretinal hemorrhage
-
Dengue Fever
Oct 25 2012 by Mallika Goyal, MD
Fundus photograph of the right eye of a 32-year-old gentleman with dengue fever and thrombocytopenia. Photograph shows extensive retinal and pre-retinal haemorrhages, roth spots but no dengue retinitis. Same patient as in images 1-5.
Condition/keywords: Dengue Fever, preretinal hemorrhage, rosacea conjunctivitis
-
Dengue Fever
Oct 25 2012 by Mallika Goyal, MD
Fundus photograph of the left eye of a 32-year-old gentleman with dengue fever and thrombocytopenia. Photograph shows extensive retinal and pre-retinal haemorrhages, roth spots but no dengue retinitis. Same patient as in images 1-5
Condition/keywords: Dengue Fever, preretinal hemorrhage, rosacea conjunctivitis
-
Dengue Fever
Oct 25 2012 by Mallika Goyal, MD
Fundus photograph of the left eye of a 32-year-old gentleman with dengue fever and thrombocytopenia. Photograph shows extensive retinal and pre-retinal haemorrhages, roth spots but no dengue retinitis.
Condition/keywords: Dengue Fever, preretinal hemorrhage, rosacea conjunctivitis

Loading…