- 
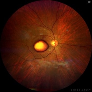
     Dehemoglobinized sub-internal limiting membrane hemorrhage Dehemoglobinized sub-internal limiting membrane hemorrhageJul 29 2022 by JORGE SOBERANES Fundus photograph of a 70-year-old man with Valsalva retinopathy manifested as premacular hemorrhage (sub-ILM) in dehemoglobinized process. Photographer: Jorge I. Soberanes, Asociación para Evitar la Ceguera en México. Imaging device: Zeiss Clarus 700 Condition/keywords: dehemoglobinized hemorrhage, sub-inner limiting membrane hemorrhage, valsalva retinopathy 
- 
     Sub-internal limiting membrane hemorrhage in Valsalva retinopathy Sub-internal limiting membrane hemorrhage in Valsalva retinopathyJul 29 2022 by JORGE SOBERANES A fundus photography of a 70-year-old man with premacular hemorrhage (Sub-internal limiting membrane) due to Valsalva retinopathy Photographer: Jorge I. Soberanes, Asociación para Evitar la Ceguera en México. Imaging device: Zeiss Clarus 700 Condition/keywords: premacular hemorrhage, sub-inner limiting membrane hemorrhage, valsalva retinopathy 
- 
     OCT of a sub-internal limiting membrane hemorrhage in Valsalva retinopathy OCT of a sub-internal limiting membrane hemorrhage in Valsalva retinopathyJul 29 2022 by JORGE SOBERANES Optical coherence tomography of a 70-year-old man with a sub-internal limiting membrane due to Valsalva retinopathy Photographer: Jorge I. Soberanes, Asociación para Evitar la Ceguera en México. Imaging device: PLEX Elite 9000, Zeiss Condition/keywords: OCT, sub-inner limiting membrane hemorrhage, swept source, valsalva retinopathy 
