-
By JORGE SOBERANES
Asociacion para Evitar la Ceguera en México
Co-author(s): Juan C. Romo, Asociación para Evitar la Ceguera en México - Uploaded on Jul 29, 2022.
- Last modified by Joshua Friedman on Aug 2, 2022.
- Rating
- Appears in
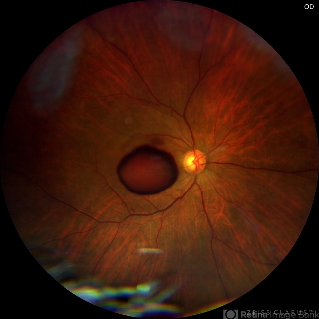
- Valsalva retinopathy
- Condition/keywords
- sub-inner limiting membrane hemorrhage, valsalva retinopathy, premacular hemorrhage
- Photographer
- Jorge I. Soberanes, Asociación para Evitar la Ceguera en México.
- Imaging device
-
Fundus camera
Zeiss Clarus 700 - Description
- A fundus photography of a 70-year-old man with premacular hemorrhage (Sub-internal limiting membrane) due to Valsalva retinopathy

Initializing download.