-
By JORGE SOBERANES
Asociacion para Evitar la Ceguera en México
Co-author(s): Juan C. Romo, Asociación para Evitar la Ceguera en México - Uploaded on Jul 29, 2022.
- Last modified by Joshua Friedman on Aug 2, 2022.
- Rating
- Appears in
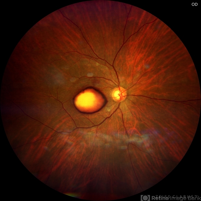
- Valsalva retinopathy
- Condition/keywords
- dehemoglobinized hemorrhage, valsalva retinopathy, sub-inner limiting membrane hemorrhage
- Photographer
- Jorge I. Soberanes, Asociación para Evitar la Ceguera en México.
- Imaging device
-
Fundus camera
Zeiss Clarus 700 - Description
- Fundus photograph of a 70-year-old man with Valsalva retinopathy manifested as premacular hemorrhage (sub-ILM) in dehemoglobinized process.

Initializing download.