-
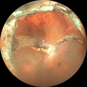
Intraocular Mass With Retinal Detachment
Aug 28 2019 by Gayathri Mohan
Wide field fundus image showing an intraocular mass temporally along with a retinal detachment.
Photographer: Dr. Gayathri Mohan, Retina Foundation
Imaging device: Nidek Mirante SLO
Condition/keywords: choroidal mass
-
Widefield Retro Mode Image of Fundus Coloboma
Aug 31 2019 by Gayathri Mohan
Wide field image of a fundus coloboma taken in retro mode.
Photographer: Dr.Gayathri Mohan, Retina Foundation
Imaging device: Mirante, Nidek
Condition/keywords: coloboma, retromode
-
Wide Field Image of Fundus Coloboma
Aug 31 2019 by Gayathri Mohan
Wide field color photo of fundus coloboma post PPV for RD. laser marks seen.
Photographer: Dr. Gayathri Mohan, Retina Foundation
Imaging device: Mirante,Nidek
Condition/keywords: coloboma
-
Wide Field FA Montage of Occlusive Vasculitis
Aug 31 2019 by Gayathri Mohan
Wide field FA montage showing occlusive vasculitis with extensive areas of non perfusion and NVE super-temporally.
Photographer: Dr. Gayathri Mohan, Retina Foundation
Imaging device: Mirante, Nidek
Condition/keywords: capillary dropouts, fluorescein angiogram (FA), ischemia, vasculitis
-
Choroidal Osteoma
Oct 11 2019 by Gayathri Mohan
Color fundus image of a peripapillary choroidal osteoma.
Photographer: Gayathri Mohan,Retina Foundation
Condition/keywords: choroidal osteoma, fundus photograph
-
Retro Mode Image of Choroidal Osteoma
Oct 11 2019 by Gayathri Mohan
Image of a peripapillary choroidal osteoma taken in retro mode.
Photographer: Gayathri Mohan, Retina Foundation
Imaging device: Mirante, Nidek
Condition/keywords: choroidal osteoma, retromode
-
Wide Field Fundus Image of Buckle Intrusion
Oct 12 2019 by Gayathri Mohan
Wide field color fundus image of a case of buckle intrusion into the eye.
Photographer: Gayathri Mohan- Retina Foundation
Imaging device: Mirante, Nidek
Condition/keywords: encircling scleral buckle, intrusion
-
Widefield FA Montage - a Case of VKH
Oct 12 2019 by Gayathri Mohan
Wide field FA montage of a case of VKH showing hot disc and peripheral leakage.
Photographer: Gayathri Mohan, Retina Foundation
Imaging device: Mirante, Nidek
Condition/keywords: fluorescein angiogram (FA), Vogt-Koyanagi-Harada
-
Coat's Disease - Widefield Montage
Nov 22 2019 by Gayathri Mohan
Widefield color fundus photo montage of a patient with RE Coats disease, showing diffuse exudates along with sub foveal nodule.
Photographer: Dr. Gayathri Mohan- Retina Foundation
Imaging device: Mirante, Nidek
Condition/keywords: Coats' disease, subretinal exudates
-
Geographic Atrophy
May 10 2020 by Gayathri Mohan
Color fundus photograph of a patient with geographic atrophy.
Photographer: Gayathri Mohan, Retina Foundation
Imaging device: Mirante, Nidek
Condition/keywords: fundus photograph, geographic atrophy
-
Geographic Atrophy- Retro Mode
May 10 2020 by Gayathri Mohan
Image of a patient with geographic atrophy taken in retro mode. The deeper choroidal vessels are prominently seen.
Photographer: Gayathri Mohan, Retina Foundation
Imaging device: Mirante, Nidek
Condition/keywords: geographic atrophy, retro
-
Geographic Atrophy
May 11 2020 by Gayathri Mohan
Fundus autofluorescence image of a patient with geographic atrophy.
Photographer: Gayathri Mohan, Retina Foundation
Imaging device: Mirante, Nidek
Condition/keywords: fundus autofluorescence (FAF), geographic atrophy
-
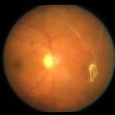
Proliferative Diabetic Retinopathy
May 11 2020 by Gayathri Mohan
Color fundus photograph of a patient with PDR, showing neovascularisation infero-temporal to macula.
Photographer: Gayathri Mohan, Retina Foundation
Imaging device: Mirante, Nidek
Condition/keywords: neovascularization (NV), optical coherence tomography (OCT), proliferative diabetic retinopathy (PDR)
-
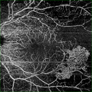
OCT Angiography- PDR
May 11 2020 by Gayathri Mohan
OCT angiography image of the superficial plexus showing neovascularisation infero-temporal to macula. Avascular areas are seen temporally.
Photographer: Gayathri Mohan, Retina Foundation
Imaging device: Mirante, Nidek
Condition/keywords: neovascularization (NV), optical coherence tomography (OCT), proliferative diabetic retinopathy (PDR)
-
Macular Hole with ERM
May 11 2020 by Gayathri Mohan
Color fundus photograph of a patient showing an epiretinal membrane along with macular hole. fluid pocket is noted inferiorly.
Photographer: Gayathri Mohan, Retina Foundation
Imaging device: Mirante, Nidek
Condition/keywords: epiretinal membrane (ERM), macular hole
-
Dislocated IOL in Vitreous with RD
May 11 2020 by Gayathri Mohan
Color fundus photo montage of a patient showing a dislocated posterior chamber intraocular lens in the vitreous cavity inferiorly along with a sub total retinal detachment.
Photographer: Gayathri Mohan, Retina Foundation
Imaging device: Mirante, Nidek
Condition/keywords: dislocated posterior chamber intraocular lens (PCIOL), montage
-
Macular Hole
May 11 2020 by Gayathri Mohan
Color fundus photograph of a patient with macular hole along with surrounding cuff of fluid. A Weiss ring can be seen anteriorly in the vitreous.
Photographer: Gayathri Mohan, Retina Foundation
Imaging device: Mirante, Nidek
Condition/keywords: macular hole
-
Sub-Hyaloid Hemorrhage
May 11 2020 by Gayathri Mohan
Color fundus photograph of a patient with a boat shaped sub hyaloid hemorrhage.
Photographer: Gayathri Mohan, Retina Foundation
Imaging device: Mirante, Nidek
Condition/keywords: subhyaloid hemorrhage, ultra-wide field imaging
-
Sub-Hyaloid Hemorrhage
May 11 2020 by Gayathri Mohan
Wide field color fundus photograph of a patient with a boat shaped sub hyaloid hemorrhage.
Photographer: Gayathri Mohan, Retina Foundation
Imaging device: Mirante, Nidek
Condition/keywords: subhyaloid hemorrhage, ultra-wide field imaging
-
Traumatic Lens Drop
Nov 25 2020 by Gayathri Mohan
Widefield color fundus photograph of a 58-year-old man with traumatic lens drop post blunt trauma.
Photographer: Gayathri Mohan
Imaging device: Mirante, Nidek
Condition/keywords: blunt trauma, lens, trauma
-
Battle of BRVOs: Old vs New
Jul 30 2021 by Gayathri Mohan
Color fundus photograph of a 48-year-old showing an inferno temporal BRVO. Old BRVO with neovascularization seen super-temporally.
Photographer: Dr. Gayathri Mohan
Imaging device: Canon
Condition/keywords: branch retinal vein occlusion (BRVO), cystoid macular edema (CME), neovascularization (NV)
-
Valsalva Retinopathy
Aug 2 2021 by Gayathri Mohan
Colour fundus photograph of a 25-year-old man showing valsalva retinopathy with double ring sing.
Photographer: Dr.Gayathri Mohan
Imaging device: canon
Condition/keywords: double ring sign, subhyaloid hemorrhage, valsalva retinopathy
-
Bidding Adieu to Attachments: Weiss Ring
Jan 7 2022 by Gayathri Mohan
Colour fundus photograph showing a Weiss ring following PVD.
Photographer: Dr. GAYATHRI MOHAN
Imaging device: Canon
Condition/keywords: PVD induction, Weiss ring
-
Hypertensive Retinopathy
Jan 8 2022 by Gayathri Mohan
Color fundus image of both eyes showing a resolving hypertensive retinopathy, taken one month post episode of malignant hypertension.
Photographer: Dr Gayathri Mohan
Imaging device: Canon
Condition/keywords: hypertensive retinopathy, malignant hypertension
-
Long-standing RD with PVR
Jan 28 2022 by Gayathri Mohan
Color fundus photograph showing a long standing RD with PVR with fixed retinal folds.
Photographer: Dr Gayathri Mohan
Imaging device: Canon
Condition/keywords: PVR, Retina Folds, Retinal Detachment
-
Central Retinal Vein Occlusion
Jan 28 2024 by Gayathri Mohan
Fundus photograph of a 50 year old woman showing a CRVO.
Photographer: Dr Gayathri Mohan, Thumbay Medical and Dental Speciality Centre, U.A.E
Imaging device: 3nethra
Condition/keywords: central retinal vein occlusion (CRVO), ischemic CRVO
-
Central Retinal Vein Occlusion
Jan 28 2024 by Gayathri Mohan
Fundus photograph of a 50 year old woman showing a CRVO.
Photographer: Dr Gayathri Mohan, Thumbay Medical and Dental Speciality Centre, U.A.E
Imaging device: 3nethra
Condition/keywords: central retinal vein occlusion (CRVO), ischemic CRVO
-
Branch Retinal Vein Occlusion
Jan 13 2026 by Gayathri Mohan
Fundus photograph of a 36 year old patient with Right eye supero temporal BRVO
Photographer: Samah Hani Ridha, Thumbay University Hospital,UAE
Imaging device: Topcon
Condition/keywords: BRVO
-
Branch Retinal Vein Occlusion
Jan 13 2026 by Gayathri Mohan
Montage of a 36 year old patient with Right eye supero temporal BRVO
Photographer: Samah Hani Ridha, Thumbay University Hospital, UAE
Imaging device: Topcon
Condition/keywords: BRVO
-
Disc Drama!
Jan 13 2026 by Gayathri Mohan
Fundus photograph of a 45 year old gentleman showing Right eye Diabetic Papillopathy in a case of severe NPDR.
Photographer: Samah Hani Ridha, Thumbay University Hospital, UAE
Imaging device: Topcon
Condition/keywords: diabetic retinopathy, papilopathy
-
Collar Button Appearance on B-Scan
Aug 28 2019 by Gayathri Mohan
B-scan showing an intraocular mass with collar button appearance. Suspected case of choroidal melanoma.
Photographer: Dr.Gayathri Mohan, Retina Foundation
Imaging device: Nidek Mirante SLO
Condition/keywords: choroidal mass, collar button
