- 
            
             By Gayathri Mohan By Gayathri Mohan
 Co-author(s): Manish Nagpal , Navneet Mehrotra- Retina Foundation
- Uploaded on May 11, 2020.
- Last modified by Caroline Bozell on May 12, 2020.
- Rating
- Appears in
- Miscellaneous
- Condition/keywords
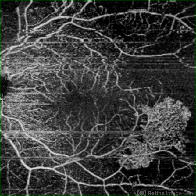
- proliferative diabetic retinopathy (PDR), optical coherence tomography (OCT), neovascularization (NV)
- Photographer
- Gayathri Mohan, Retina Foundation
- Imaging device
- 
                Scanning laser ophthalmoscope
                
 Mirante, Nidek
- Description
- OCT angiography image of the superficial plexus showing neovascularisation infero-temporal to macula. Avascular areas are seen temporally.

 
        
 Initializing download.
                Initializing download. 
             
             
             
             
             
             
             
             
             
            