-
By Gayathri Mohan
Co-author(s): Manish Nagpal, Navneet Mehrotra - Retina Foundation - Uploaded on Oct 12, 2019.
- Last modified by Caroline Bozell on Oct 15, 2019.
- Rating
- Appears in
- Miscellaneous
- Condition/keywords
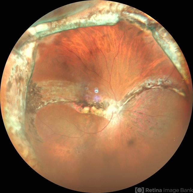
- encircling scleral buckle, intrusion
- Photographer
- Gayathri Mohan- Retina Foundation
- Imaging device
-
Scanning laser ophthalmoscope
Mirante, Nidek - Description
- Wide field color fundus image of a case of buckle intrusion into the eye.

Initializing download.