-
Spontaneous Re-attached Retina
Mar 16 2013 by Philip J. Polkinghorne, MD
Patient presented with RRD in fellow eye; an incidental finding was the appearance of a spontaneously re-attached retina in her left eye.
Condition/keywords: spontaneous resolution
-
Post-Endophthalmitis Retinal Detachment and Retinal Necrosis
Jul 12 2014 by Philip J. Polkinghorne, MD
This patient developed a retinal detachment secondary to retinal necrosis following successful treatment of post-operative endophthalmitis.
Condition/keywords: endophthalmitis, retinal necrosis
-
Vasculitis Following Successful Treatment of Endophthalmitis
Jul 12 2014 by Philip J. Polkinghorne, MD
A 65-year-old lady presented with endophthalmitis following cataract surgery. She had a vitrectomy and intravitreal antibiotics. Post-operatively she did well. The montage shows persisting vasculitis and retinal haemorrhages three months following presentation.
Condition/keywords: endophthalmitis, post-vitrectomy
-
Corneal Decompensation Following Endophthalmitis
Jul 12 2014 by Philip J. Polkinghorne, MD
This patient presented following a tap and inject for endophthalmitis. Unfortunately the cornea decompensated as fibrin became organized in the anterior segment.
Condition/keywords: corneal decompensation, endophthalmitis
-
Panophthalmitis
Jul 12 2014 by Philip J. Polkinghorne, MD
A 85-year-old lady who presented with an eroding intraocular lens. She had been initially treated with herbal medicines which failed to control the infection.
Photographer: Philip Polkinghorne
Condition/keywords: cataract surgery, endophthalmitis, panophthalmitis
-
Candida Endophthalmitis
Jul 12 2014 by Philip J. Polkinghorne, MD
A diabetic patient presented with endogenous endophthalmitis secondary to candida albicans.
Condition/keywords: candida endophthalmitis
-
Endophthalmitis
Jul 12 2014 by Philip J. Polkinghorne, MD
A 75-year-old man who presented with reduced vision and pain 6 years following mitomycin assisted trabeculectomy.
Photographer: Philip Polkinghorne
Condition/keywords: endophthalmitis, post-trabeculectomy
-
Removing a Hypopyon From the Anterior Segment
Jul 12 2014 by Philip J. Polkinghorne, MD
An intra-operative photograph demonstrating the technique of removing a hypopyon from the anterior segment.
Photographer: Philip Polkinghorne
Condition/keywords: endophthalmitis, fibrin, hypopyon
-
Optic Atrophy and Attenuated Retinal Vessels Following Endophthalmitis
Jul 12 2014 by Philip J. Polkinghorne, MD
This elderly lady underwent a vitrectomy for post-surgical endophthalmitis. The infection was successfully treated but the functional outcome was poor because of optic atrophy and attenuated retinal vessels.
Photographer: Alex Fraser
Imaging device: Optos Camera
Condition/keywords: attenuated vessels, endophthalmitis, optic atrophy, post-vitrectomy
-
Endophthalmitis Complicating an Intraocular Foreign Body
Jul 12 2014 by Philip J. Polkinghorne, MD
An 8-year-old child presented with endophthalmitis following an injury to the eye. At the time of surgery a retained foreign body was found, latter identified as a fragment from a pencil.
Photographer: Philip Polkinghorne
Condition/keywords: endophthalmitis, hypopyon, intraocular foreign body
-
ERRODING-BUCKLE
Apr 29 2015 by Philip J. Polkinghorne, MD
Fundus photograph of a patient who underwent conventional retinal detachment surgery with an encircling element 25 years ago. The sponge visible under the retina has not changed in 5 years of follow up.
Photographer: Alex Frazer, Greenlane Clinical Center, Auckland, New Zealand
Condition/keywords: subretinal buckle
-
Buckle Eroding Through to Subretinal Space
Apr 29 2015 by Philip J. Polkinghorne, MD
A high myope who underwent conventional retinal detachment surgery 20 years ago was noted to have an eroding scleral explant in the sub-retinal space.
Photographer: Janet Wigmore, Auckland Eye. Auckland, New Zealand.
Condition/keywords: extruding
-
Eroding suture from buckling surgery
Apr 29 2015 by Philip J. Polkinghorne, MD
This patient presented with a discharge some 15 years have previous retinal detachment surgery. The buckle and suture was removed.
Condition/keywords: extruded scleral buckle
-
Buckle Eroding Through to Subretinal Space
Apr 29 2015 by Philip J. Polkinghorne, MD
A high myope who underwent conventional retinal detachment surgery 20 years ago was noted to have an eroding scleral explant in the sub-retinal space.
Photographer: Janet Wigmore, Auckland Eye. Auckland, New Zealand.
Condition/keywords: extruding
-
Color Fundus Photograph of Myope With PVD and Staphyloma
Jun 11 2016 by Philip J. Polkinghorne, MD
Color photograph of patient with PVD and staphyloma.
Imaging device: Optos
Condition/keywords: degenerative myopia, peripheral vascular disease (PVD), staphyloma
-
Myope With Staphyloma and Vitreous Detachment
Jun 11 2016 by Philip J. Polkinghorne, MD
Fundus autofluorescence of a myope with PVD and staphyloma.
Imaging device: Optos FAF
Condition/keywords: degenerative myopia, myopia, staphyloma
-
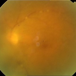
Asymptomatic Chronic Retinal Detachment With Demarcation Line
Jun 11 2016 by Philip J. Polkinghorne, MD
A 65-year-old emmetrope with asymptomatic chronic retinal detachment with demarcation line.
Photographer: Alex Fraser, Greenlane Clinical Center, Auckland, New Zealand
Condition/keywords: chronic retinal detachment, fundus autofluorescence (FAF)
-
Stickler Syndrome
Sep 28 2016 by Philip J. Polkinghorne, MD
Slit lamp photograph
Photographer: Alex Fraser
Condition/keywords: giant retinal tear, membranous vitreous, Stickler Syndrome
-
Oil Droplets Retained Under ILM
Mar 1 2017 by Philip J. Polkinghorne, MD
Wide field image of emulsified silicone oil trapped under partially peeled ILM.
Photographer: Alex Fraser
Condition/keywords: silicone oil
-
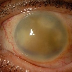
Retention of Perfluorocarbon in Anterior Chamber
Mar 1 2017 by Philip J. Polkinghorne, MD
Slit lamp photograph takien one week after retinal detachment surgery where perfluorocarbon liquid was used to re-attach the retina.
Photographer: Alex Fraser
Condition/keywords: perfluorocarbon fluid, retained perfluorocarbon, retina surgery complications
-
Heavy Oil in Anterior Chamber
Mar 1 2017 by Philip J. Polkinghorne, MD
Slit lamp photograph showing heavy oil bubbles in anterior chamber.
Photographer: Alex Fraser
Condition/keywords: heavy oil, retina surgery complications
-
Giant Retinal Tear
Jun 15 2017 by Philip J. Polkinghorne, MD
Inverted retinal detachments were first described by Scheffels in 1890 and then again by Baquis in 1896. This example is typical in that it is associated with an extensive tear (GRT) in the retinal periphery.
Photographer: Alex Fraser
Condition/keywords: giant retinal tear
