-
By Philip J. Polkinghorne, MD
- Uploaded on Apr 29, 2015.
- Last modified by Chayal Patel on May 1, 2015.
- Rating
- Appears in
- Miscellaneous
- Condition/keywords
- extruding
- Photographer
- Janet Wigmore, Auckland Eye. Auckland, New Zealand.
- Imaging device
- Photo slit lamp biomicroscope
- Description
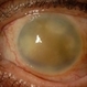
- A high myope who underwent conventional retinal detachment surgery 20 years ago was noted to have an eroding scleral explant in the sub-retinal space.

Initializing download.