-
By Vaidehi Sathaye
Sankalp Hospitals, Jamnagar
Co-author(s): Dr. Manish Nagpal, Dr. Navneet Mehrotra, Retina Foundation, Ahmedabad - Uploaded on Oct 16, 2023.
- Last modified by Joshua Friedman on Oct 18, 2023.
- Rating
- Appears in
- Miscellaneous
- Condition/keywords
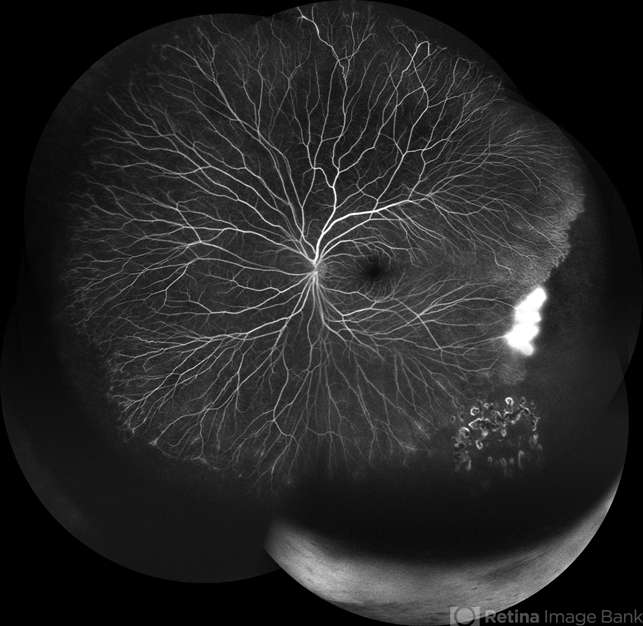
- familial exudative vitreoretinopathy (FEVR), fluorescein angiogram (FA)
- Photographer
- Dr. Vaidehi Sathaye
- Imaging device
-
Scanning laser ophthalmoscope
Mirante - Description
- Widefield FA montage of LE of a 13 year old male, showing leakages and capillary non-perfusion areas , in a case of Stage 1 Familial Exudative Vitreoretinopathy

Initializing download.