-
By T. P . VIGNESH, MBBS,MS
Aravind eye hospital - Uploaded on Nov 18, 2022.
- Last modified by Joshua Friedman on Nov 21, 2022.
- Rating
- Appears in
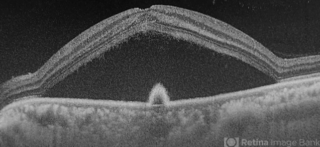
- Central serous chorioretinopathy
- Condition/keywords
- central serous chorioretinopathy (CSCR)
- Photographer
- Priyanka
- Imaging device
-
Optical coherence tomography system
Topcon Triton - Description
- OCT of a 45 year old man revealing serous macular detachment with a subfoveal PED .

Initializing download.