-
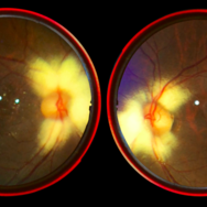
Central Serous Chorioretinopathy : Smartphone Fundus Image
Dec 14 2018 by Prithvi Chandrakanth
A 42-year-old male with diminution of vision in the left eye since one week, uncorrected visual acuity was 6/18 improving with hyperopic lens to 6/9. H/o Metamorphopsia was present.
Photographer: Dr.Prithvi Chandrakanth, Dr.Chandrakanth Malabar Nethralaya, Kozhikode.
Imaging device: Trash To Treasure (T3) Retcam - Smartphone Fundus Camera
Condition/keywords: central serous chorioretinopathy (CSCR), smartphone fundus photography
-
Valsalva-Retinopathy: Smartphone Fundus Image
Dec 14 2018 by Prithvi Chandrakanth
A 48-year-old male patient presented with complaints of diminution of vision in the left eye for 3 days. He gives a history of lifting heavy weight. Uncorrected visual acuity was 6/24 not improving with pin hole/glasses.
Photographer: Dr.Prithvi Chandrakanth, Dr.Chandrakanth Malabar Nethralaya, Kozhikode.
Imaging device: Trash To Treasure (T3) Retcam - Smartphone fundus Camera
Condition/keywords: macular pre-retinal hemorrhage, smartphone fundus photography, valsalva retinopathy
-
Bergmeisters-Papilla : Smartphone Fundus Image
Dec 14 2018 by Prithvi Chandrakanth
Smartphone fundus photograph of a 33-year-old male with Bergmeister's papilla.
Photographer: Dr.Prithvi Chandrakanth, Dr.Chandrakanth Malabar Nethralaya, Kozhikode.
Imaging device: Trash To Treasure (T3) Retcam Smartphone Fundus Camera
Condition/keywords: Bergmeister's Papillae, smartphone fundus photography
-
Epiretinal Membrane : Smartphone Fundus Image
Dec 14 2018 by Prithvi Chandrakanth
A 60-year-old male presenting with a left eye epiretinal membrane.
Photographer: Dr. Prithvi Chandrakanth, Dr. Chandrakanth Malabar Nethralaya, Kozhikode.
Imaging device: Trash To Treasure Retcam : Smartphone fundus camera
Condition/keywords: epiretinal membrane (ERM), macular pucker, smartphone fundus photography
-
Roth Spots : Smartphone Fundus Image
Dec 14 2018 by Prithvi Chandrakanth
A 13-year-old female presented with multiple white centered retinal hemorrhage in both the eyes.
Photographer: Dr.Prithvi Chandrakanth, Dr.Chandrakanth Malabar Nethralaya, Kozhikode.
Imaging device: Trash To Treasure Retcam : Smartphone Fundus Camera
Condition/keywords: Roth spots, smartphone fundus photography, white centered retinal hemorrhage (Roth Spot)
-
Proliferative Diabetic Retinopathy: Smartphone Fundus Image
Dec 15 2018 by Prithvi Chandrakanth
A 22-year-old female presented with random blood sugars of 410mg/dl and blood pressure of 170/100mmhg with OD uncorrected visual acuity of 2/60 not improving with glasses.
Photographer: Dr.Prithvi Chandrakanth, Dr.Chandrakanth Malabar Nethralaya, Kozhikode.
Imaging device: Trash To Treasure (T3) Retcam : Smartphone fundus camera
Condition/keywords: neovascularization elsewhere (NVE), neovascularization of the disc (NVD), proliferative diabetic retinopathy (PDR), smartphone fundus photography
-
Bear Tracks - Smartphone Fundus Image
Dec 27 2018 by Prithvi Chandrakanth
Male 43-years-old, BCVA BE 6/6, asymptomatic, Fundus RE multiple hyperpigmented circular/oval well defined lesions present inferonasally to the optic disc.
Photographer: Dr.Prithvi Chandrakanth, Dr.Chandrakanth Malabar Nethralaya, Kozhikode
Imaging device: Trash To Treasure Retcam - Smartphone Fundus Camers
Condition/keywords: bear tracks, congenital hypertrophy of the retinal pigment epithelium (CHRPE), retcam, smartphone fundus photography
-
Subretinal Worm with Laser Marks - Smartphone Fundus Photograph
Jun 13 2019 by Prithvi Chandrakanth
42-year-old, male came with chief complaints of diminished vision and floaters in right eye for past one week. On fundus examination noted to have subretinal haemorrhage and edema at the posterior pole and a subretinal live mobile worm at the periphery. Laser photocoagulation done followed by pars plana vitrectomy.
Photographer: Dr.PRITHVI CHANDRAKANTH, Dr.CHANDRAKANTH MALABAR NETHRALAYA, KOZHIKODE
Imaging device: TRASH TO TREASURE RETCAM - SMARTPHONE FUNDUS CAMERA DEVICE
Condition/keywords: laser photocoagulation, smartphone fundus photography, subretinal hemorrhage, uveitis, worm
-
Disc Edema
Oct 16 2019 by Prithvi Chandrakanth
26-year-old male, presented with defective vision, on examination his color vision, red desaturation test were reduced. Fundus examination revealed edematous halo around the disc suggesting progressive optic disc edema.
Photographer: Dr.Prithvi Chandrakanth, Dr.Chandrakanth Malabar Nethralaya, Kozhikode, India
Imaging device: TRASH TO TREASURE RETCAM
Condition/keywords: frisen grade 2, optic disc edema, retcam, smartphone fundus photography
-
Physiological Cup Enlargment
Oct 16 2019 by Prithvi Chandrakanth
22-year-male, regular eye check up was noted with enlarged cup disc ratio. concentric cup with healthy nero-retinal rim.
Photographer: Dr.Prithvi Chandrakanth, Dr.Chandrakanth Malabar Nethralaya, Kozhikode, India
Imaging device: TRASH TO TREASURE RETCAM
Condition/keywords: concentric disc cup, physiological enlargement of disc cup, retcam
-
Retinal Hemangioblastoma
Oct 16 2019 by Prithvi Chandrakanth
30-year-old male, fundus examination revealed retinal hemangioblastoma in the inferotemporal quadrant.
Photographer: Dr.Prithvi Chandrakanth, Dr.Chandrakanth Malabar Nethralaya, Kozhikode, India
Imaging device: TRASH TO TREASURE RETCAM
Condition/keywords: retcam, retinal hemangioblastoma, smartphone fundus photography, Von Hippel-Lindau
-
Central Retinal Artery Occlusion
Jan 13 2020 by Prithvi Chandrakanth
37-years-old male with complaints of sudden diminution of vision in the left eye for the past three days. Fundus examination revealed pale retina in the left eye with cherry red spot and normal fundus picture in right eye.
Photographer: DR.PRITHVI CHANDRAKANTH, ARAVIND EYE HOSPITAL, UDUMALPET
Imaging device: TRASH TO TREASURE RETCAM
Condition/keywords: central retinal artery occlusion (CRAO), cherry red spot, retcam, smartphone fundus photography
-
Myelinated Retinal Nerve Fiber Layer
Jan 26 2020 by Prithvi Chandrakanth
Incidental fundus finding in an asymptomatic 37-year-old female of grayish white , well demarcated patch, with frayed borders obscuring underlying vessels at the optic nerve head in both eyes.
Photographer: Dr.PRITHVI CHANDRAKANTH, ARAVIND EYE HOSPITAL, UDUMALPET
Imaging device: TRASH TO TREASURE RETCAM
Condition/keywords: myelinated nerve fibers, retcam, smartphone fundus photography
-
Central Retinal Vein Occlusion
Jan 26 2020 by Prithvi Chandrakanth
Transient visual obscuration in a 52-year-old male patient in his right eye, fundus examination revealed dot, blot and flame shaped hemorrhage with cotton wool patches.
Photographer: Dr.PRITHVI CHANDRAKANTH, ARAVIND EYE HOSPITAL, UDUMALPET
Imaging device: TRASH TO TREASURE RETCAM
Condition/keywords: central retinal vein occlusion (CRVO), retcam, smartphone fundus photography
-
Subhyaloid Hemorrhage
Jan 26 2020 by Prithvi Chandrakanth
27-year-old male presented with sudden diminution of vision with visual acuity of 2/60 in the right eye. visual acuity of the left eye was 6/6, fundus examination revealed subhyaloid hemorrhage in the right eye and normal fundus in the left eye.
Photographer: Dr.PRITHVI CHANDRAKANTH, ARAVIND EYE HOSPITAL, UDUMALPET
Imaging device: TRASH TO TREASURE RETCAM
Condition/keywords: retcam, smartphone fundus photography, subhyaloid hemorrhage
-
Branch Retinal Vein Occlusion
Feb 5 2020 by Prithvi Chandrakanth
54-year-old female presented with blurring of vision in the left eye , anterior segment evaluation revealed immature cataract in both the eye and fundus evaluation revealed normal picture in the right eye and branch retinal vein occlusion in the left eye.
Photographer: Dr.PRITHVI CHANDRAKANTH, ARAVIND EYE HOSPITAL, UDUMALPET
Imaging device: TRASH TO TREASURE RETCAM
Condition/keywords: branch retinal vein occlusion (BRVO), retcam, smartphone fundus photography
-
Horse Shoe Retinal Tear
Feb 5 2020 by Prithvi Chandrakanth
46-year-old male presented with blurring of vision in the right eye, anterior segment in the right eye was normal with positive staffers sign and fundus picture consisting of horse shoe tear in the peripheral retina.
Photographer: Dr. PRITHVI CHANDRAKANTH, ARAVIND EYE HOSPITAL, UDUMALPET
Imaging device: TRASH TO TREASURE RETCAM
Condition/keywords: retcam, smartphone fundus photography
-
Optic Nerve Head Melanocytoma
Feb 5 2020 by Prithvi Chandrakanth
47-year-old female, came to the OPD for a regular eye examination, anterior segment in both eyes were normal, fundus picture of the left eye was normal whereas the right eye fundus revealed a brownish black lesion on the optic nerve head superiorly extending to the peripapillary retina highly suggestive of ONH melanocytoma.
Photographer: Dr. PRITHVI CHANDRAKANTH, ARAVIND EYE HOSPITAL, UDUMALPET
Imaging device: TRASH TO TREASURE RETCAM
Condition/keywords: melanocytoma, optic nerve head, retcam, smartphone fundus photography
-
SUBHYALOID HEMORRHAGE
Jul 27 2022 by Prithvi Chandrakanth
A 54-year-old male presented with sudden diminution of vision with visual acuity of 3/60 in the Left eye. visual acuity of the Right eye was 6/6, fundus examination revealed subhyaloid hemorrhage in the Left eye and normal fundus in the Right eye.
Photographer: Dr.Prithvi Chandrakanth, Department of Vitreoretinal Services, Aravind Eye Hospital, Coimbatore
Imaging device: TRASH TO TREASURE RETCAM - SMARTPHONE FUNDUS CAMERA
Condition/keywords: SHH, subhyaloid hemorrhage
-
Central Retinal Vein Occlusion
Feb 25 2025 by Prithvi Chandrakanth
A 61-year-old woman with a history of hypertension noticed a sudden painless blurring of vision in her left eye. Over the next few days, the blurriness persisted, and she experienced a mild central scotoma. On examination, Fundoscopic evaluation revealed dilated, tortuous retinal veins, retinal hemorrhages, and macular oedema.
Photographer: DR.PRITHVI CHANDRAKANTH, DR.CHANDRAKANTH NETHRALAYA, KOZHIKODE
Imaging device: EIDON
Condition/keywords: CRVO, CRVO WITH MACULA EDEMA, flame shaped retinal hemorrhage
-
Proliferative Diabetic Retinopathy S/P Pan Retinal Photocoagulation
Mar 4 2025 by Prithvi Chandrakanth
A 52-year-old female patient presented with complaints of diminishing vision, compounded by uncontrolled diabetes mellitus. Her Fundus examination revealed proliferative diabetic retinopathy, characterized by neovascularization of the disc and elsewhere, and sclerosed vessels. To address this, Pan Retinal Photocoagulation was performed, and the condition stabilized, halting the progression of the disease.
Photographer: DR PRITHVI CHANDRAKANTH, DR CHANDRAKANTH NETHRALAYA, KOZHIKODE, KERALA, INDIA
Imaging device: EIDON
Condition/keywords: Diabetic Retinopathy, Neovascularisation at the Disc (NVD), neovascularization of the disc (NVD), NVD, pan-retinal photocoagulation (PRP), PDR, PDR with NVE (periphery), PRP
