RAMA with 2 w decreased vision; htn, afib using anticoag; light laser applied; 20/400 for a few months; 20/25 7 months later
-
RAMA
Jun 20 2016 by John S. King, MD
RAMA with 2 w co decreased vision; htn, afib using anticoag; light laser applied; 20/400.
Condition/keywords: ruptured macroaneurysm
-
RAMA
-
RAMA
-
RAMA
Jun 20 2016 by John S. King, MD
2m since light laser; still 20/400.
Condition/keywords: ruptured macroaneurysm
-
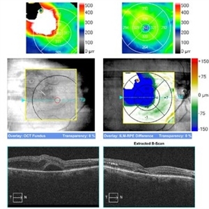
RAMA
Jun 20 2016 by John S. King, MD
RAMA with 2 w co decreased vision; htn, afib using anticoag; light laser applied; initial visit and 3 months after; 20/400 both visits.
Condition/keywords: ruptured macroaneurysm
-
RAMA
Jun 20 2016 by John S. King, MD
7 months post-light laser 20/25
Condition/keywords: ruptured macroaneurysm
-
RAMA
