-
By John S. King, MD
Retina Associates, PA
Co-author(s): Jordan Ball - Uploaded on Jun 20, 2016.
- Last modified by Caroline Bozell on Jun 20, 2016.
- Rating
- Appears in
- RAMA and Laser
- Condition/keywords
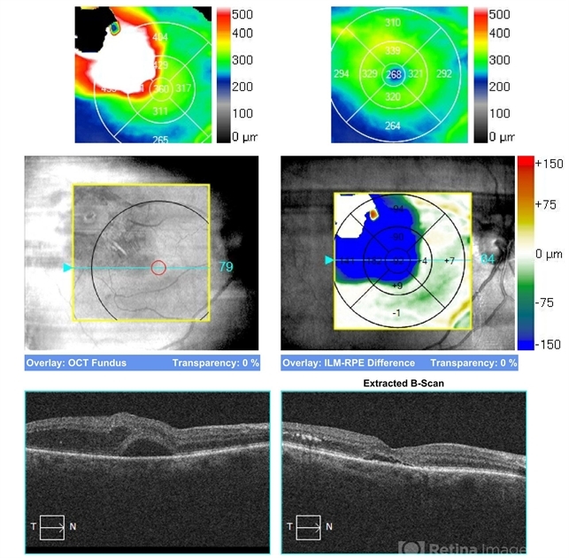
- ruptured macroaneurysm
- Imaging device
- Optical coherence tomography system
- Description
- RAMA with 2 w co decreased vision; htn, afib using anticoag; light laser applied; initial visit and 3 months after; 20/400 both visits.

Initializing download.