-
By John S. King, MD
Retina Associates, PA
Co-author(s): Jordan Ball - Uploaded on Jun 20, 2016.
- Last modified by Caroline Bozell on Jun 20, 2016.
- Rating
- Appears in
- RAMA and Laser
- Condition/keywords
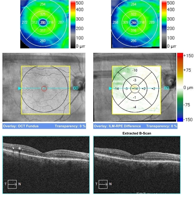
- ruptured macroaneurysm
- Imaging device
- Optical coherence tomography system
- Description
- Last two visits 20/25

Initializing download.