-
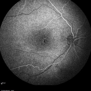
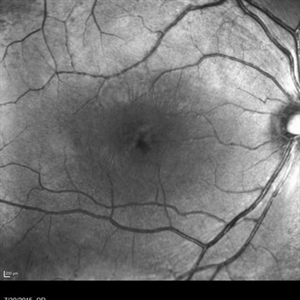
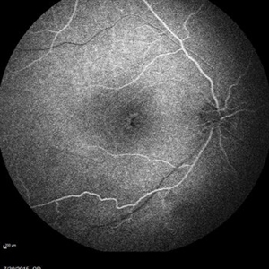
Retinal Dystrophy of 24-Year-Old Male/ Red Free OD
Nov 25 2015 by Zach Dupureur
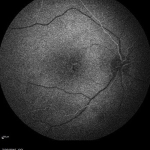
Fluorescein angiography of a 24-year-old male. Juvenile retinoschisis on OCT. FA shows outer retinal staining. Could be associated with Goldman Farve Syndrome.
Photographer: Zach Dupureur OCT-C
Imaging device: Heidelberg Spectralis
Condition/keywords: Goldmann-Favre Syndrome, juvenile retinoschisis, retinal dystrophy
-
Retinal Dystrophy of 24-Year-Old Male Early FA OD
Nov 25 2015 by Zach Dupureur
Fluorescein angiography of a 24-year-old male. Juvenile retinoschisis on OCT. FA shows outer retinal staining. Could be associated with Goldmann Farve Syndrome.
Condition/keywords: Goldmann-Favre Syndrome, juvenile retinoschisis, retinal dystrophy
-
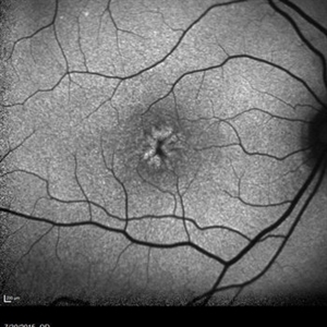
Retinal Dystrophy of 24-Year-Old Male/ AF OD
Nov 25 2015 by Zach Dupureur
Fluorescein angiography of a 24-year-old male. Juvenile retinoschisis on OCT. FA shows outer retinal staining. Could be associated with Goldman Farve Syndrome.
Photographer: Zach Dupureur OCT-C
Imaging device: Heidelberg Spectralis
Condition/keywords: Goldmann-Favre Syndrome, juvenile retinoschisis, retinal dystrophy
-
Retinal Dystrophy of 24-Year-Old Male Early FA OD
Nov 25 2015 by Zach Dupureur
Fluorescein angiography of a 24-year-old male. Juvenile retinoschisis on OCT. FA shows outer retinal staining. Could be associated with Goldmann Farve Syndrome.
Photographer: Zach Dupureur, OCT-C
Condition/keywords: Goldmann-Favre Syndrome, juvenile retinoschisis, retinal dystrophy
-
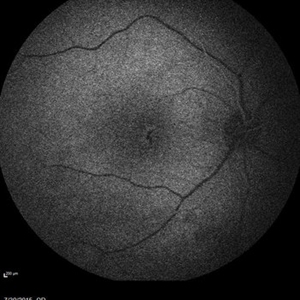
Retinal Dystrophy of 24-Year-Old Male/ IR OD
Nov 25 2015 by Zach Dupureur
Fluorescein angiography of a 24-year-old male. Juvenile retinoschisis on OCT. FA shows outer retinal staining. Could be associated with Goldman Farve Syndrome.
Photographer: Zach Dupureur OCT-C
Imaging device: Heidelberg Spectralis
Condition/keywords: Goldmann-Favre Syndrome, juvenile retinoschisis, retinal dystrophy
-
Retinal Dystrophy of 24-Year-Old Male Early FA OD
Nov 25 2015 by Zach Dupureur
Fluorescein angiography of a 24-year-old male. Juvenile retinoschisis on OCT. FA shows outer retinal staining. Could be associated with Goldmann Farve Syndrome.
Photographer: Zach Dupureur, OCT-C
Condition/keywords: Goldmann-Favre Syndrome, juvenile retinoschisis, retinal dystrophy
-
Retinal Dystrophy of 24-Year-Old Male/ Red Free OS
Nov 25 2015 by Zach Dupureur
Fluorescein angiography of a 24-year-old male. Juvenile retinoschisis on OCT. FA shows outer retinal staining. Could be associated with Goldman Farve Syndrome.
Photographer: Zach Dupureur OCT-C
Imaging device: Heidelberg Spectralis
Condition/keywords: Goldmann-Favre Syndrome, juvenile retinoschisis, retinal dystrophy
-
Retinal Dystrophy of 24-Year-Old Male Early FA OD
Nov 25 2015 by Zach Dupureur
Fluorescein angiography of a 24-year-old male. Juvenile retinoschisis on OCT. FA shows outer retinal staining. Could be associated with Goldmann Farve Syndrome.
Photographer: Zach Dupureur, OCT-C
Condition/keywords: Goldmann-Favre Syndrome, juvenile retinoschisis, retinal dystrophy
-
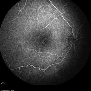
Retinal Dystrophy of 24-Year-Old Male/ AF OS
Nov 25 2015 by Zach Dupureur
Fluorescein angiography of a 24-year-old male. Juvenile retinoschisis on OCT. FA shows outer retinal staining. Could be associated with Goldman Farve Syndrome.
Photographer: Zach Dupureur OCT-C
Imaging device: Heidelberg Spectralis
Condition/keywords: Goldmann-Favre Syndrome, juvenile retinoschisis, retinal dystrophy
-
Retinal Dystrophy of 24-Year-Old Male Early FA OD
Nov 25 2015 by Zach Dupureur
Fluorescein angiography of a 24-year-old male. Juvenile retinoschisis on OCT. FA shows outer retinal staining. Could be associated with Goldmann Farve Syndrome.
Photographer: Zach Dupureur, OCT-C
Condition/keywords: Goldmann-Favre Syndrome, juvenile retinoschisis, retinal dystrophy
-
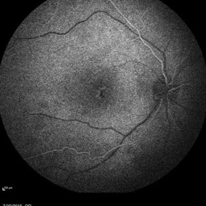
Retinal Dystrophy of 24-Year-Old Male/ IR OS
Nov 25 2015 by Zach Dupureur
Fluorescein angiography of a 24-year-old male. Juvenile retinoschisis on OCT. FA shows outer retinal staining. Could be associated with Goldman Farve Syndrome.
Photographer: Zach Dupureur OCT-C
Imaging device: Heidelberg Spectralis
Condition/keywords: Goldmann-Favre Syndrome, juvenile retinoschisis, retinal dystrophy
-
Retinal Dystrophy of 24-Year-Old Male Early FA OD
Nov 25 2015 by Zach Dupureur
Fluorescein angiography of a 24-year-old male. Juvenile retinoschisis on OCT. FA shows outer retinal staining. Could be associated with Goldmann Farve Syndrome.
Photographer: Zach Dupureur, OCT-C
Condition/keywords: Goldmann-Favre Syndrome, juvenile retinoschisis, retinal dystrophy
-
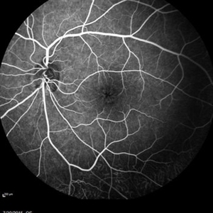
Retinal Dystrophy of 24-Year-Old Male/ Fluorescein Angiogram OD
Nov 25 2015 by Zach Dupureur
Fluorescein angiography of a 24-year-old male. Juvenile retinoschisis on OCT. FA shows outer retinal staining. Could be associated with Goldman Farve Syndrome.
Photographer: Zach Dupureur OCT-C
Imaging device: Heidelberg Spectralis
Condition/keywords: Goldmann-Favre Syndrome, juvenile retinoschisis, retinal dystrophy
-
Retinal Dystrophy of 24-Year-Old Male Early FA OD
Nov 25 2015 by Zach Dupureur
Fluorescein angiography of a 24-year-old male. Juvenile retinoschisis on OCT. FA shows outer retinal staining. Could be associated with Goldmann Farve Syndrome.
Photographer: Zach Dupureur, OCT-C
Condition/keywords: Goldmann-Favre Syndrome, juvenile retinoschisis, retinal dystrophy
-
Retinal Dystrophy of 24-Year-Old Male/ Fluorescein Angiogram OS
Nov 25 2015 by Zach Dupureur
Fluorescein angiography of a 24-year-old male. Juvenile retinoschisis on OCT. FA shows outer retinal staining. Could be associated with Goldman Farve Syndrome.
Photographer: Zach Dupureur OCT-C
Imaging device: Heidelberg Spectralis
Condition/keywords: Goldmann-Favre Syndrome, juvenile retinoschisis, retinal dystrophy
-
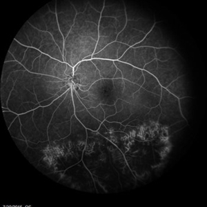
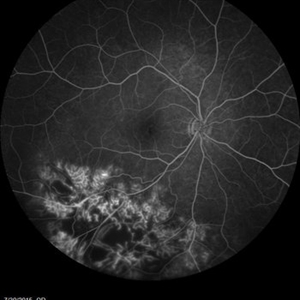
Retinal Dystrophy of 24-Year-Old Male Fill Phase FA OD
Nov 25 2015 by Zach Dupureur
Fluorescein angiography of a 24-year-old male. Juvenile retinoschisis on OCT. FA shows outer retinal staining. Could be associated with Goldmann Farve Syndrome.
Photographer: Zach Dupureur, OCT-C
Condition/keywords: Goldmann-Favre Syndrome, juvenile retinoschisis, retinal dystrophy
-
Retinal Dystrophy of 24-Year-Old Male/ Fluorescein Angiogram OD
Nov 25 2015 by Zach Dupureur
Fluorescein angiography of a 24-year-old male. Juvenile retinoschisis on OCT. FA shows outer retinal staining. Could be associated with Goldman Farve Syndrome.
Photographer: Zach Dupureur OCT-C
Imaging device: Heidelberg Spectralis
Condition/keywords: Goldmann-Favre Syndrome, juvenile retinoschisis, retinal dystrophy
-
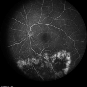
Retinal Dystrophy of 24-Year-Old Male Mid FA OD
Nov 25 2015 by Zach Dupureur
Fluorescein angiography of a 24-year-old male. Juvenile retinoschisis on OCT. FA shows outer retinal staining. Could be associated with Goldmann Farve Syndrome.
Photographer: Zach Dupureur, OCT-C
Condition/keywords: Goldmann-Favre Syndrome, juvenile retinoschisis, retinal dystrophy
-
Retinal Dystrophy of 24-Year-Old Male/ Fluorescein Angiogram OS
Nov 25 2015 by Zach Dupureur
Fluorescein angiography of a 24-year-old male. Juvenile retinoschisis on OCT. FA shows outer retinal staining. Could be associated with Goldman Farve Syndrome.
Photographer: Zach Dupureur OCT-C
Imaging device: Heidelberg Spectralis
Condition/keywords: Goldmann-Favre Syndrome, juvenile retinoschisis, retinal dystrophy
-
Retinal Dystrophy of 24-Year-Old Male Mid FA OD
Nov 25 2015 by Zach Dupureur
Fluorescein angiography of a 24-year-old male. Juvenile retinoschisis on OCT. FA shows outer retinal staining. Could be associated with Goldmann Farve Syndrome.
Photographer: Zach Dupureur, OCT-C
Condition/keywords: Goldmann-Favre Syndrome, juvenile retinoschisis, retinal dystrophy
-
Retinal Dystrophy of 24-Year-Old Male/ Fluorescein Angiogram OD
Nov 25 2015 by Zach Dupureur
Fluorescein angiography of a 24-year-old male. Juvenile retinoschisis on OCT. FA shows outer retinal staining. Could be associated with Goldman Farve Syndrome.
Photographer: Zach Dupureur OCT-C
Imaging device: Heidelberg Spectralis
Condition/keywords: Goldmann-Favre Syndrome, juvenile retinoschisis, retinal dystrophy
-
Retinal Dystrophy of 24-Year-Old Male Mid FA OD
Nov 25 2015 by Zach Dupureur
Fluorescein angiography of a 24-year-old male. Juvenile retinoschisis on OCT. FA shows outer retinal staining. Could be associated with Goldmann Farve Syndrome.
Photographer: Zach Dupureur, OCT-C
Condition/keywords: Goldmann-Favre Syndrome, juvenile retinoschisis, retinal dystrophy
-
Retinal Dystrophy of 24-Year-Old Male/ Fluorescein Angiogram OS
Nov 25 2015 by Zach Dupureur
Fluorescein angiography of a 24-year-old male. Juvenile retinoschisis on OCT. FA shows outer retinal staining. Could be associated with Goldman Farve Syndrome.
Photographer: Zach Dupureur OCT-C
Imaging device: Heidelberg Spectralis
Condition/keywords: Goldmann-Favre Syndrome, juvenile retinoschisis, retinal dystrophy
-
Retinal Dystrophy of 24-Year-Old Male Mid FA OD
Nov 25 2015 by Zach Dupureur
Fluorescein angiography of a 24-year-old male. Juvenile retinoschisis on OCT. FA shows outer retinal staining. Could be associated with Goldmann Farve Syndrome.
Photographer: Zach Dupureur, OCT-_C
Condition/keywords: Goldmann-Favre Syndrome, juvenile retinoschisis, retinal dystrophy
-
Retinal Dystrophy of 24-Year-Old Male Mid FA OD
Nov 25 2015 by Zach Dupureur
Fluorescein angiography of a 24-year-old male. Juvenile retinoschisis on OCT. FA shows outer retinal staining. Could be associated with Goldman Farve Syndrome.
Photographer: Zach Dupureur, OCT-C
Condition/keywords: Goldmann-Favre Syndrome, juvenile retinoschisis, retinal dystrophy
-
Retinal Dystrophy of 24-Year-Old Male Mid FA OD
Nov 25 2015 by Zach Dupureur
Fluorescein angiography of a 24-year-old male. Juvenile retinoschisis on OCT. FA shows outer retinal staining. Could be associated with Goldmann Farve Syndrome.
Photographer: Zach Dupureur, OCT-C
Condition/keywords: Goldmann-Favre Syndrome, juvenile retinoschisis, retinal dystrophy
-
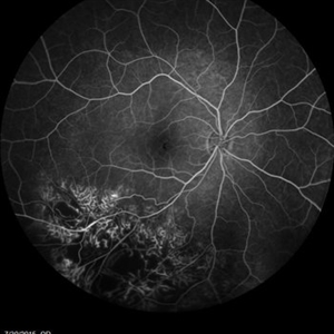
Retinal Dystrophy of 24-Year-Old Male Fill Phase FA OD
Nov 25 2015 by Zach Dupureur
Fluorescein angiography of a 24-year-old male. Juvenile retinoschisis on OCT. FA shows outer retinal staining. Could be associated with Goldmann Farve Syndrome
Photographer: Zach Dupureur, OCT- C
Condition/keywords: Goldmann-Favre Syndrome, juvenile retinoschisis, retinal dystrophy
-
Retinal Dystrophy of 24-Year-Old Male Fill Phase FA OD
Nov 25 2015 by Zach Dupureur
Fluorescein angiography of a 24-year-old male. Juvenile retinoschisis on OCT. FA shows outer retinal staining. Could be associated with Goldmann Farve Syndrome
Photographer: Zach Dupureur, OCT-C
Condition/keywords: Goldmann-Favre Syndrome, juvenile retinoschisis, retinal dystrophy
-
Retinal Dystrophy of 24-Year-Old Male Fill Phase FA OD
Nov 25 2015 by Zach Dupureur
Fluorescein angiography of a 24-year-old male. Juvenile retinoschisis on OCT. FA shows outer retinal staining. Could be associated with Goldmann Farve Syndrome.
Photographer: Zach Dupureur, OCT- C
Condition/keywords: Goldmann-Favre Syndrome, juvenile retinoschisis, retinal dystrophy
-
Retinal Dystrophy of 24-Year-Old Male Mid FA OD
Nov 25 2015 by Zach Dupureur
Fluorescein angiography of a 24-year-old male. Juvenile retinoschisis on OCT. FA shows outer retinal staining. Could be associated with Goldmann Farve Syndrome.
Photographer: Zach Dupureur, OCT-C
Condition/keywords: Goldmann-Favre Syndrome, juvenile retinoschisis, retinal dystrophy
-
Retinal Dystrophy of 24-Year-Old Male Mid FA OD
Nov 25 2015 by Zach Dupureur
Fluorescein angiography of a 24-year-old male. Juvenile retinoschisis on OCT. FA shows outer retinal staining. Could be associated with Goldmann Farve Syndrome.
Photographer: Zach Dupureur, OCT-C
Condition/keywords: Goldmann-Favre Syndrome, juvenile retinoschisis, retinal dystrophy
-
Retinal Dystrophy of 24-Year-Old Male Mid FA OD
Nov 25 2015 by Zach Dupureur
Fluorescein angiography of a 24-year-old male. Juvenile retinoschisis on OCT. FA shows outer retinal staining. Could be associated with Goldmann Farve Syndrome.
Photographer: Zach Dupureur, OCT-C
Condition/keywords: Goldmann-Favre Syndrome, juvenile retinoschisis, retinal dystrophy
-
Retinal Dystrophy of 24-Year-Old Male Mid FA OD
Nov 25 2015 by Zach Dupureur
Fluorescein angiography of a 24-year-old male. Juvenile retinoschisis on OCT. FA shows outer retinal staining. Could be associated with Goldmann Farve Syndrome.
Photographer: Zach Dupureur, OCT-C
Condition/keywords: Goldmann-Favre Syndrome, juvenile retinoschisis, retinal dystrophy
